Внутрибольничная пневмония – это легочная инфекция, развившаяся спустя двое и более суток после поступления больного в стационар, при отсутствии признаков заболевания на момент госпитализации. Проявления внутрибольничной пневмонии аналогичны таковым при других формах воспаления легких: лихорадка, кашель с мокротой, тахипноэ, лейкоцитоз, инфильтративные изменения в легких и т. п., однако могут быть слабо выраженными, стертыми. Диагноз основывается на клинических, физикальных, рентгенологических и лабораторных критериях. Лечение внутрибольничной пневмонии включает адекватную антибиотикотерапию, санацию дыхательных путей (лаваж, ингаляции, физиометоды), инфузионную терапию.
Общие сведения
Внутрибольничная (нозокомиальная, госпитальная) пневмония – приобретенная в стационаре инфекция нижних дыхательных путей, признаки которой развиваются не ранее 48 часов после поступления больного в лечебное учреждение. Нозокомиальная пневмония входит в тройку самых распространенных внутрибольничных инфекций, уступая по распространенности лишь раневым инфекциям и инфекциям мочевыводящих путей. Внутрибольничная пневмония развивается у 0,5-1% больных, проходящих лечение в стационарах, а у пациентов отделений реанимации и интенсивной терапии встречается в 5-10 раз чаще. Летальность при внутрибольничной пневмонии чрезвычайно высока – от 10-20% до 70-80% (в зависимости от вида возбудителя и тяжести фонового состояния пациента).
Внутрибольничная пневмония
Причины
Основная роль в этиологии внутрибольничной бактериальной пневмонии принадлежит грамотрицательной флоре (синегнойной палочке, клебсиелле, кишечной палочке, протею, серрациям и др.) – эти бактерии обнаруживаются в секрете дыхательных путей в 50-70% случаев. У 15-30% пациентов ведущим возбудителем выступает метициллинрезистентный золотистый стафилококк. За счет различных приспособительных механизмов названные бактерии вырабатывают устойчивость к большинству известных антибактериальных средств. Анаэробы (бактериоды, фузобактерии и др.) являются этиологическими агентами 10-30% внутрибольничных пневмоний. Примерно у 4% пациентов развивается легионеллезная пневмония – как правило, она протекает по типу массовых вспышек в стационарах, причиной которых служит контаминация легионеллами систем кондиционирования и водоснабжения.
Значительно реже, чем бактериальные пневмонии, диагностируются нозокомиальные инфекции нижних дыхательных путей, вызванные вирусами. Среди возбудителей внутрибольничных вирусных пневмоний ведущая роль принадлежит вирусам гриппа А и В, РС-вирусу, у больных с ослабленным иммунитетом – цитомегаловирусу.
Общими факторами риска инфекционных осложнений со стороны дыхательных путей служат длительная госпитализация, гипокинезия, бесконтрольная антибиотикотерапия, пожилой и старческий возраст. Существенное значение имеет тяжесть состояния больного, обусловленная сопутствующими ХНЗЛ, послеоперационным периодом, травмами, кровопотерей, шоком, иммуносупрессией, комой и пр. Способствовать колонизации нижних дыхательных путей микробной флорой могут медицинские манипуляции: эндотрахеальная интубация и реинтубация, трахеостомия, бронхоскопия, бронхография и пр. Основными путями попадания патогенной микрофлоры в дыхательные пути служат аспирация секрета ротоносоглотки или содержимого желудка, гематогенное распространение инфекции из отдаленных очагов.
Вентилятор-ассоциированная пневмония возникает у больных, находящихся на ИВЛ; при этом каждый день, проведенный на аппаратном дыхании, увеличивает риск развития внутрибольничной пневмонии на 1%. Послеоперационная, или застойная пневмония, развивается у обездвиженных больных, перенесших тяжелые оперативные вмешательства, главным образом, на грудной и брюшной полости. В этом случае фоном для развития легочной инфекции служит нарушение дренажной функции бронхов и гиповентиляция. Аспирационный механизм возникновения внутрибольничной пневмонии характерен для больных с цереброваскулярными расстройствами, у которых отмечаются нарушения кашлевого и глотательного рефлексов; в этом случае патогенное действие оказывают не только инфекционные агенты, но и агрессивный характер желудочного аспирата.
Классификация
По срокам возникновения госпитальная инфекция подразделяется на раннюю и позднюю. Ранней считается внутрибольничная пневмония, возникшая в первые 5 суток после поступления в стационар. Как правило, она вызывается возбудителями, присутствовавшими в организме пациента еще до госпитализации (St. аureus, St. pneumoniae, H. influenzae и др. представителями микрофлоры верхних дыхательных путей). Обычно эти возбудители проявляют чувствительность к традиционным антибиотикам, а сама пневмония протекает более благоприятно.
Поздняя внутрибольничная пневмония манифестирует через 5 и более дней стационарного лечения. Ее развитие обусловлено собственно госпитальными штаммами (метициллинрезистентным St. аureus, Acinetobacter spp., P. аeruginosa, Enterobacteriaceae и др.), проявляющими высоковирулентные свойства и полирезистентность к противомикробным препаратам. Течение и прогноз поздней внутрибольничной пневмонии весьма серьезны.
С учетом причинных факторов выделяют 3 формы нозокомиальной инфекции дыхательных путей:
- вентилятор-ассоциированную пневмонию
- послеоперационную, или застойную пневмонию
- аспирационную пневмонию
Читайте также:
Кашель при пневмонии у детей слушать
При этом довольно часто различные формы наслаиваются друг на друга, еще в большей степени утяжеляя течение внутрибольничной пневмонии и увеличивая риск летального исхода.
Симптомы внутрибольничной пневмонии
Особенностью течения внутрибольничной пневмонии является стертость симптомов, из-за чего распознавание легочной инфекции бывает затруднительным. В первую очередь, это объясняется общей тяжестью состояния больных, связанной с основным заболеванием, хирургическим вмешательством, пожилым возрастом, коматозным состоянием и т. п.
Тем не менее, в ряде случаев заподозрить внутрибольничную пневмонию можно на основании клинических данных: нового эпизода лихорадки, увеличения количества мокроты/трахеального аспирата или изменение их характера (вязкости, цвета, запаха и пр.). Больные могут предъявлять жалобы на появление или усиление кашля, одышки, болей в грудной клетке. У пациентов, находящихся в тяжелом или бессознательном состоянии следует обратить внимание на гипертермию, увеличение ЧСС, тахикардию, признаки гипоксемии. Критериями тяжелого инфекционного процесса в легких служат признаки выраженной дыхательной (ЧД > 30/мин.) и сердечно-сосудистой недостаточности (ЧСС > 125/мин., АД
Диагностика
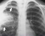
Полное диагностическое обследование при подозрении на внутрибольничную пневмонию строится на сочетании клинических, физикальных, инструментальных (рентгенография легких, КТ грудной клетки), лабораторных методов (ОАК, биохимический и газовый состав крови, бакпосев мокроты).
Для выставления соответствующего диагноза пульмонологи руководствуются рекомендуемыми критериями, включающими в себя: лихорадку выше 38,3°С, усиление бронхиальной секреции, гнойный характер мокроты или бронхиального секрета, кашель, тахипноэ, бронхиальное дыхание, влажные хрипы, инспираторную крепитацию. Факт внутрибольничной пневмонии подтверждается рентгенологическими признаками (появлением свежих инфильтратов в легочной ткани) и лабораторными данными (лейкоцитозом >12,0х109/л, палочкоядерным сдвигом >10%, артериальной гипоксемией Ра02
С целью верификации вероятных возбудителей внутрибольничной пневмонии и определения антибиотикочувствительности производится микробиологическое исследование секрета трахеобронхиального дерева. Для этого используются не только образцы свободно откашливаемой мокроты, но и трахеальный аспират, промывные воды бронхов. Наряду с культуральным выделение возбудителя, широко применяется ПЦР-исследование.
Лечение внутрибольничной пневмонии
Сложность лечения внутрибольничной пневмонии заключается в полирезистентности возбудителей к противомикробным препаратам и тяжести общего состояния больных. Практически во всех случаях первоначальная антибиотикотерапия является эмпирической, т. е. начинается еще до микробиологической идентификации возбудителя. После установления этиологии внутрибольничной пневмонии может быть произведена замена препарата на более действенный в отношении выявленного микроорганизма.
Препаратами выбора при внутрибольничной пневмонии, вызванной E.Coli и K. pneumoniae, служат цефалоспорины III-IV поколения, ингибиторзащищенные пенициллины, фторхинолоны. Синегнойная палочка чувствительна к сочетанию цефалоспоринов III-IV поколения (или карбапенемов) с аминогликозидами. Если госпитальные штаммы представлены St. аureus, требуется назначение цефазолина, оксациллина, амоксициллина с клавулановой кислотой и т. д. Для терапии аспергиллеза легких используется вориконазол или каспофунгин.
В начальном периоде предпочтителен внутривенный путь введения препарата, в дальнейшем при положительной динамике возможен переход на внутримышечные инъекции либо пероральный прием. Продолжительность курса антибиотикотерапии у пациентов с нозокомиальной пневмонией составляет 14-21 день. Оценка эффективности этиотропной терапии проводится по динамике клинических, лабораторных и рентгенологических показателей.
Кроме системной антибиотикотерапии, при внутрибольничной пневмонии важное внимание уделяется санации дыхательных путей: проведению бронхоальвеолярного лаважа, ингаляционной терапии, трахеальной аспирации. Больным показан активный двигательный режим: частая смена положения и присаживание в постели, ЛФК, дыхательные упражнения и т. п. Дополнительно проводится дезинтоксикационная и симптоматическая терапия (инфузии растворов, введение и прием бронхолитиков, муколитиков, жаропонижающих препаратов). Для профилактики тромбозов глубоких вен назначается гепарин или ношение компрессионного трикотажа; с целью предупреждения стрессовых язв желудка используются Н2-блокаторы, ингибиторы протонной помпы. Пациентам с тяжелыми септическими проявлениями может быть показано введение внутривенных иммуноглобулинов.
Прогноз и профилактика
Клиническими исходами внутрибольничной пневмонии могут быть разрешение, улучшение, неэффективность терапии, рецидив и летальный исход. Внутрибольничная пневмония является главной причиной смертности в структуре внутрибольничных инфекций. Это объясняется сложностью ее своевременной диагностики, особенно у пожилых, ослабленных больных, пациентов, пребывающих в коматозном состоянии.
Профилактика внутрибольничной пневмонии базируется на комплексе медицинских и эпидемиологических мероприятий: лечении сопутствующих очагов инфекции, соблюдении санитарно-гигиенического режима и инфекционного контроля в ЛПУ, предупреждении переноса возбудителей медперсоналом при проведении эндоскопических манипуляций. Чрезвычайно важна ранняя послеоперационная активизация пациентов, стимуляция откашливания мокроты; тяжелые больные нуждаются в адекватном туалете ротоглотки, постоянной аспирации трахеального секрета.
Читайте также:
Двусторонняя пневмония история болезни терапия
Внутрибольничными пневмониями называются воспалительные заболевания легких с поражением альвеол, которые возникают спустя двое и более суток после госпитализации больного. При этом главную роль в установлении этого диагноза играет исключение инфицирования вне стационара и отсутствие признаков инкубационного периода на момент поступления в лечебное учреждение. Таким образом, нозокомиальная пневмония – воспаление легких, приобретенное в период нахождения больного в пределах лечебного учреждения.
Согласно данным медицинской статистики, внутрибольничная пневмония возникает у 1% стационарных больных, при этом около 40% из них – пациенты отделений реанимации и интенсивной терапии.
Причины внутрибольничной пневмонии
Эта разновидность пневмонии является трудно излечимой, поскольку внутрибольничная инфекция чрезвычайно устойчива к стандартной антибиотикотерапии. Госпитальная пневмония протекает со своими особенностями и требует специфического лечения.
Этиология (причина) внутрибольничных пневмоний специфична и часто зависит от отделения, в которое был госпитализирован больной:
- В реанимационных отделениях (особенно при применении аппарата искусственной вентиляции легких) – стрептококки, энтеробактерии, гемофильная палочка, золотистый стафилококк, синегнойная палочка,
- В пульмонологических отделениях – синегнойная палочка, энтерококки, клебсиелла,
- В урологических стационарах – кишечная палочка, протей, энтерококки,
- В отделениях хирургии – золотистый стафилококк, кишечная палочка, протей, синегнойная палочка,
- В гематологии – кишечная палочка, клебсиелла, синегнойная палочка,
- В дерматовенерологических стационарах – золотистый стафилококк, кишечная палочка, синегнойная палочка, золотистый стафилококк.
Наиболее частыми этиологическими факторами возникновения нозокомиальной пневмонии являются синегнойная палочка (Pseudomonas aeruginosa) и золотистый стафилококк (Staphylococcus aureus).
К факторам, способствующим развитию внутригоспитальной пневмонии, относятся:
- аспирация (вдыхание) содержимого желудка (в бессознательном состоянии или коме),
- наличие хронического очага инфекции в организме больного,
- сердечная недостаточность, которая приводит к застою крови в малом круге кровообращения,
- хронические обструктивные заболевания органов дыхания (хронические обструктивные бронхиты, эмфизема, бронхиальная астма),
- работа во вредных условиях (профессиональные вредности),
- неблагоприятная экологическая ситуация (проживание в крупных промышленных центрах, вблизи рудных и угольных шахт),
- курение,
- злоупотребление алкоголем,
- хронические заболевания носоглотки и околоносовых пазух,
- аномалии развития дыхательной системы,
- состояния иммунодефицита (врожденного или приобретенного),
- истощение,
- послеоперационный период,
- длительный постельный режим (вследствие инвалидности, после травм, операций),
- пожилой возраст.
Вероятность заболевания внутрибольничной пневмонией возрастает после лечения антибиотиками в течение последних трех месяцев перед госпитализацией.
Антибиотикотерапия ослабляет иммунную систему организма, поскольку, борясь с возбудителями инфекционных болезней, антибактериальные препараты подавляют и те бактерии, которые являются для человеческого организма нормальной микрофлорой.
При поступлении в лечебное учреждение кожные покровы и слизистые пациента на фоне ослабленного местного и общего иммунитета мгновенно заселяются внутрибольничной инфекцией, устойчивой к наиболее употребляемым антибиотикам и дезинфицирующим средствам.
Чаще всего возникает больничная пневмония, вызванная комбинацией разнообразных возбудителей.
Виды патологии и особенности клинической картины недуга
В зависимости от времени, которое прошло с момента госпитализации пациента, различают раннюю и позднюю пневмонии, которые отличаются клиническим течением и, соответственно, тактикой лечения:
- Ранняя нозокомиальная пневмония. Возникает она в течение первых пяти дней после госпитализации больного. Это более легкая форма воспаления легких, которая вызывается, как правило, возбудителями, чувствительными к агрессивным антибиотикам: золотистым стафилококком, стрептококком, энтеробактериями, гемофильной палочкой.
-
Поздняя нозокомиальная пневмония, которая развивается спустя 5 дней после находжения пациента на стационарном лечении. Возбудителями такой формы пневмонии являются антибиотикоустойчивые штаммы микроорганизмов и их ассоциации: синегнойная палочка, ацинетобактериями, устойчивыми штаммами золотистого стафилококка.
Такая пневмония имеет менее благоприятный прогноз, чем ранняя.
Внутрибольничная пневмония клинически отличается тяжелым течением. Диагноз госпитальной пневмонии устанавливается на основании легочных и внелегочных проявлений, которые являются признаками поражения легких и интоксикации организма:
-
Легочные проявления: кашель, мокрота (отсутствие или обильное выделение гнойной мокроты), боли в грудной клетке, выраженная одышка, учащенное и поверхностное дыхание.
Присутствуют физикальные признаки, такие как: укорочение (притупление) перкуторного звука, бронхиальное дыхание, влажные хрипы, крепитация при прослушивании фонендоскопом области воспаления, шум трения плевры, выделение большого количества мокроты с большим количеством гноя.
- Внелегочные проявления: повышение температуры тела до 38,5°С и выше, общая слабость, потливость, головные боли, нарушение сознания, ухудшение аппетита.
Читайте также:
Можно парится в бане при пневмонии
Часто подобные симптомы возникают и при других острых заболеваниях (тромбоэмболии легочной артерии, ателектазах, туберкулезе, абсцессе, раке, отеке легких), поэтому для постановки диагноза необходимо проведение дополнительных методов исследования:
- Микроскопического анализа мокроты или промывных вод бронхов.
- Микробиологической диагностики мокроты, которую необходимо проводить до начала антибиотикотерапии.
- Общего анализа крови.
- Определения газового состава крови.
- Биохимического анализа крови.
- Общего анализа мочи.
- Рентгенологического обследования органов грудной клетки в двух проекциях.
- Компьютерной томографии.
Перечень дополнительных методов исследования может быть значительно увеличен. Его объем зависит от анамнеза, фонового заболевания пациента и его состояния.
Лечение госпитальных пневмоний
Тактика лечения нозокомиальных пневмоний зависит от вида возбудителя. В лечении внутригоспитальных воспалений легких различают эмпирическую (по Национальным рекомендациям) и этиотропную (по виду возбудителя) антибиотикотерапию.
Этиотропная терапия является более эффективной и целенаправленной, однако назначается она на основании данных лабораторных исследований отобранного материала (мокроты, крови).
Результаты микробиологических исследований можно получить не ранее пятого дня после отбора материала. Чтобы не терять драгоценное время, на этот период больному назначаются антибиотики широкого спектра действия. При эмпирическом назначении антибактериальных препаратов учитывают специализацию отделения, чтобы учесть возможный спектр микроорганизмов, которые являются устойчивыми к тем или иным антибиотикам.
Адекватная эмпирическая антимикробная терапия является тем необходимым условием, которое достоверно приводит к снижению смертности среди больных госпитальной пневмонией и уменьшению продолжительности пребывания в лечебном учреждении.
Первую дозу антибиотиков при подозрении на нозокомиальную пневмонию необходимо давать пациенту только после отбора материала для микробиологического исследования, поскольку отбор материала после введения антибиотика может привести к искажению результатов анализов.
Для согласованности лечения внутрибольничной пневмонии на общегосударственном уровне разработаны и внедрены в клиническую практику Национальные рекомендации по лечению нозокомиальной пневмонии, в которых приведены антимикробные препараты, их комбинации и дозировки, которые применяются для эмпирической антибиотикотерапии (с учетом вероятного возбудителя и его антибиотикочувствительности).
После получения результатов микробиологического исследования назначается этиотропная терапия, которая учитывает особенности возбудителя, или проводится коррекция дозы эмпирического антибиотика. Замена препаратов или их комбинаций, а также коррекция их дозировки не проводится, если на фоне эмпирической терапии отмечается улучшение состояния пациента.
Выбор препарата также во многом зависит от исходного состояния пациента, его фоновых патологий, а также состояния почек и печени, через которые происходит выведение препарата из организма больного.
Параллельно с антибиотикотерапией больному с внутрибольничной пневмонией согласно Национальным рекомендациям в комплексной терапии назначаются:
- Антитромботическая терапия (Гепарин, Фраксипарин, Клексан) – для профилактики тромбозов глубоких вен ног.
- Бинтование ног эластичными бинтами или ношение медицинского компрессионного белья – пациентам с повышенным риском тромбообразования.
- Сукральфат – для профилактики стрессовых желудочных кровотечений у тяжелых больных, получающих внутривенное питание.
- Неинвазивная вентиляция легких , при обнаружении умеренной гипоксемии (пониженного содержания кислорода в крови).
- Внутривенные иммуноглобулины – при пневмонии на фоне сепсиса и септического шока.
В тяжелых случаях пациентам с внутрибольничной пневмонией назначается искусственная вентиляция легких, показаниями к которой являются:
- отсутствие самостоятельного дыхания,
- проведение сердечно-легочной реанимации,
- патологические типы дыхания,
- коматозное состояние,
- устойчивая гипоксемия или ее нарастание,
- выраженное учащение дыхания (свыше 40 дыхательных движений в минуту),
- высокий риск заброса желудочного содержимого в трахею,
- снижение парциального давления кислорода в крови менее 200 мм ртутного столба.
Профилактика внутрибольничной пневмонии заключается в следующем:
- строгом соблюдении санитарно-гигиенических правил в лечебно-профилактических учреждениях,
- тщательной обработке рук персонала перед манипуляциями с больным или стерильным материалом,
- регулярной смене дезинфицирующих средств, используемых для санитарной обработки и дезинфекции помещений лечебных учреждений,
- раннем восстановлении двигательной активности пациентов после операций,
- стимуляция откашливания и глубокого дыхания после операций,
- предупреждении заброса желудочного содержимого в дыхательные пути,
- ограничении использования аппаратов искусственной вентиляции легких и бронхоскопических манипуляций.
Летальность при нозокомиальной пневмонии составляет 20-50%. При этом высокая смертность отмечается в палатах реанимации и интенсивной терапии. Больничная пневмония с большим трудом поддается лечению, поэтому развитие заболевания лучше предотвратить, чем лечить.
Загрузка…










