Отогенные внутричерепные осложнения – это совокупное название всех поражений внутричерепных структур, которые возникают на фоне заболеваний среднего или внутреннего уха. Клиническая картина включает синдром системной интоксикации, общую мозговую симптоматику и очаговые проявления поражений коры головного мозга. Диагностика основывается на анамнезе заболевания, физикальном обследовании, результатах спинномозговой пункции, лабораторных тестов, эхоэнцефалографии, КТ и МРТ. Лечение состоит из оперативной санации первичного и метастатического очага инфекции, массивной антибактериальной и симптоматической медикаментозной терапии.
Общие сведения
Отогенные внутричерепные осложнения (ОВО) в современной практике встречаются относительно редко. Согласно статистическим данным, они обнаруживаются у 2-8% от общего количества пациентов с патологиями уха. Подавляющее большинство больных — люди пожилого возраста, среди этой возрастной группы интракраниальные осложнения диагностируются в 3,5-4 раза чаще. Наиболее распространенная форма внутричерепных осложнений – гнойный менингоэнцефалит, составляющий до 75% от всех случаев. Реже наблюдаются абсцессы головного мозга и мозжечка (от 10 до 13%), экстрадуральный абсцесс (до 7%), тромбоз сигмовидного синуса (до 5%). Более чем у 1/3 пациентов одновременно развивается несколько внутричерепных поражений.
Отогенные внутричерепные осложнения
Причины
Отогенные интракраниальные поражения возникают при острых или хронических гнойно-септических заболеваниях уха, в основном – барабанной полости и ее структур. Наиболее часто причиной их развития становятся хронический и острый средний отит, мезотимпанит, эпитимпанит, гнойный лабиринтит. В качестве патогенной микрофлоры выступают комбинации бактерий, среди которых преобладают кокки: стафилококки, стрептококки, несколько реже – пневмококки, диплококки. В некоторых случаях удается выделить синегнойную палочку, протея. Способствовать распространению инфекции за пределы полостей внутреннего или среднего уха могут:
- Снижение реактивности и резистентности организма. Быстрое проникновение микроорганизмов в полость черепа может быть обусловлено отсутствием адекватного иммунного ответа. Иммунодефицит наблюдается при злокачественных опухолях, длительном приеме цитостатиков, сахарном диабете и других системных заболеваниях, СПИДе, генетических аномалиях.
- Неправильное лечение первичных патологий. Длительное течение заболеваний приводит к гнойному расплавлению костных стенок полостей уха и проникновению патогенной флоры внутрь черепно-мозговой коробки. Это возможно как при полном отсутствии соответствующей терапии, так и при назначении неэффективных антибиотиков.
- Особенности строения височной кости. Вероятность инфекционного процесса увеличивается при врожденных аномалиях развития региональных костных структур: дегисценции стенок среднего уха, большом количестве складок или карманов пещеры, каналах сосудисто-нервных анастомозов, открытой каменисто-чешуйчатой щели у младенцев. Также сюда можно отнести ранее перенесенные оперативные вмешательства, тяжелые травмы.
Патогенез
В основе патогенеза лежит проникновение инфекционных агентов и гнойного экссудата в интракраниальную полость одним из четырех путей: контактным, преформированным, лабиринтогенным или гематогенным. В первом случае поражения внутричерепных структур являются результатом разрушения костных стенок кариозным процессом, что встречается при эпитимпаните, фронтите. Распространение инфекции может происходить в следующих направлениях: в среднюю черепную ямку из крыши барабанной полости, в сигмовидный синус или мозжечок из сосцевидного отростка, в заднюю черепную ямку по водопроводам преддверия и улитки, из внутреннего уха к передней ямке и пещеристой пазухе через переднюю стенку среднего уха.
Преформированный путь инфицирования представляет собой проникновение инфекции по периваскулярным и периневральным путям. Лабиринтогенный вариант актуален только для лабиринтитов, заключается в воспалительном поражении водопровода улитки и внутреннего слухового прохода с переходом на подпаутинное пространство задней части черепной полости. Гематогенный и лимфогенный пути наблюдаются при генерализации заболевания, реже – при гнойном расплавлении стенок региональных вен, артерий. Важную роль играет угнетение фагоцитоза, снижение бактерицидной̆ активности сыворотки крови и лизоцима, повышение концентрации b-лизинов, функциональное состояние гематоэнцефалического барьера.
Классификация
Несмотря на практически идентичную этиологию, из-за отличающихся путей распространения инфекции при заболеваниях полостей уха могут развиваться поражения различных интракраниальных структур. Возможны случаи перехода одной формы в другую и комбинации нескольких вариантов. В настоящее время принято выделять следующие формы отогенных внутричерепных осложнений:
- Экстрадуральный абсцесс – скопление гнойных масс между твердой мозговой оболочкой и внутренней поверхностью костей черепа. Типичная локализация – средняя и задняя черепная ямка. Является осложнением патологических процессов в барабанной полости, эпитимпанита.
- Субдуральный абсцесс – поражение, характеризующееся накоплением гноя между твердой и паутинной мозговой оболочкой. Обычно возникает в области средней или задней черепной ямки на фоне холестеатомного среднего отита или лабиринтита соответственно.
- Разлитой гнойный менингит (лептоменингит) – воспаление мягкой и арахноидальной оболочки головного мозга, сопровождающееся выделением гнойного экссудата и внутричерепной гипертензией. Преимущественная локализация – основание головного мозга.
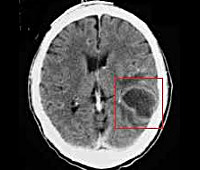
- Абсцесс головного мозга, мозжечка – патологические полости, ограниченные пиогенной мембраной и заполненные гнойными массами. Типичное расположение при отогенном происхождении – височная доля, мозжечок.
- Тромбоз венозных синусов – образование инфицированного тромба, закупоривающего просвет сигмовидного или другого синуса мозговой оболочки. Развивается при тяжелых гнойных средних отитах.
- Отогенный сепсис – вторичное осложнение, сопровождающееся проникновением в системный кровоток гноеродной микрофлоры и продуктов ее жизнедеятельности из первичного очага. Возникает на фоне уже сформированного синус-тромбоза, абсцессов или лептоменингита.
Читайте также:
Отит после промывания носа долфином
Симптомы
Клиническая картина всех форм ОВО представлена интоксикационным синдромом, общемозговой и очаговой симптоматикой. Исключение составляют абсцессы мозжечка и головного мозга, которые довольно часто протекают бессимптомно. Поражения интракраниальных структур развиваются при уже имеющихся заболеваниях органа слуха, из-за чего их начало «смазано». Зачастую на их возникновение указывает отсутствие позитивной динамики и ухудшение общего состояния на фоне проводимого лечения. При формировании внутричерепных поражений отмечается дальнейшее усугубление синдрома интоксикации, проявляющееся повышением температуры тела до 39,5-41,0 °С, ярко выраженной общей слабостью и недомоганием, утратой аппетита, бессонницей.
Общемозговая симптоматика появляется позже, поскольку она обусловлена повышением внутричерепного давления и отеком тканей ЦНС. Ее ранним проявлением становится сильная диффузная острая или тупая головная боль давящего, распирающего или пульсирующего характера. На высоте боли и в утреннее время возникает тошнота и рвота, не проносящая облегчения. В последующем может формироваться нарушение сознания в виде сомноленции – заторможенности, патологической сонливости, потери ориентации в пространстве и времени, апатии. Реже отмечается бред, слуховые и зрительные галлюцинации. В тяжелых случаях наблюдается судорожный синдром, сопор, кома.
Очаговая симптоматика зависит от локализации инфекционного процесса в коре головного мозга. При поражении лобной доли определяется шаткость ходьбы, монопарез или гемипарез, моторная афазия, аносмия, реже – эпилептиформные приступы. При нарушениях в теменной области теряется тактильная чувствительность и кинестезия, возникает дислексия, дисграфия, дискалькулия, географическая агнозия. Дисфункция височной доли характеризуется шумом в ушах, слуховыми галлюцинациями, сенсорной афазией, амнезией, сложными парциальными припадками. Наличие очага в затылочной области коры сопровождается нарушением зрения, зрительной агнозией, макропсией или микропсией, визуальными галлюцинациями. Абсцессы мозжечка приводят к атаксии, спонтанному нистагму, невозможности координировать мелкие движения пальцев рук и дисдиадохокинезии.
Диагностика
Из-за большого количества проявлений и частой «стертости» симптоматики постановка диагноза затруднительна. На первый план выходят дополнительные методы исследования, помогающие оценить состояние внутричерепных структур, а анамнестические данные и физикальный осмотр играют вспомогательную роль. При опросе больного или его родственников отоларинголог уточняет ранее установленный диагноз, динамику развития заболевания, наличие сопутствующих патологий. Используются результаты следующих исследований:
- Общий осмотр. Определяются позитивные менингеальные симптомы, артериальная гипертензия или гипотензия, тахикардия, снижение или повышение сухожильных рефлексов, очаговая неврологическая симптоматика, отоскопические изменения, пирамидные симптомы.
- Общий анализ крови. Развитие ОВО характеризуется нарастанием лейкоцитоза, выраженным смещением лейкоцитарной формулы в сторону палочкоядерных и юных нейтрофилов, повышением СОЭ. При сепсисе назначается посев крови на стерильность.
- Люмбальная пункция. Метод информативен при менингитах, энцефалитах. При спинномозговой пункции ликвор несколько мутный, вытекает под высоким давлением. В его составе лейкоциты преобладают над лимфоцитами, обнаруживается низкий уровень глюкозы и высокий уровень белка, цитоз превышает 1000 на 1мм3.
- Эхоэнцефалография. Позволяет выявить внутричерепные объемные процессы. На их наличие указывает смещение срединного эха (М-Эхо) до 1,5-3 мм. При абсцессах мозжечка метод может оказаться неинформативным.
- КТ или МРТ головного мозга. Исследования дают возможность четко визуализировать локализацию абсцессов или очагового энцефалита, определить их размеры, выявить перифокальный отек, дислокацию и деформацию желудочков мозга. Контрастные методики показаны при подозрении на тромбоз кавернозного или сигмовидного синуса.
Лечение отогенных внутричерепных осложнений
Лечение больных с ОВО проводится в условиях специализированного отоларингологического отделения или блока реанимации и интенсивной терапии. Комплекс терапевтических мероприятий включает санацию первичного очага инфекции, дезинтоксикацию, устранение септических осложнений, массивную медикаментозную поддержку. Применяются следующие методики:
- Оперативное вмешательство. Объем операции напрямую зависит от первичного заболевания, характеристик метастатических поражений. Как правило, абсцессы ЦНС санируются и дренируются через трепанационное отверстие. Реже выполняют открытые операции с вскрытием полости и полным удалением образования вместе с капсулой.
- Антибактериальная терапия. Представлена комбинациями антибиотиков широкого спектра действия в субмаксимальных или максимальных дозах. Препараты вводятся одновременно внутривенно и внутримышечно, что позволяет быстро достичь терапевтической дозы в спинномозговой жидкости. При тяжелом течении возможны инъекции медикаментов непосредственно в спинальный канал.
- Патогенетические и симптоматические средства. В обязательном порядке проводится дезинтоксикационная и дегидратационная инфузионная терапия плазмозаменителями, растворами глюкозы. Для предотвращения отека головного мозга показано введение глюкокортикостероидов, кокарбоксилазы. Купирование судорог осуществляется при помощи седуксена. При синус-тромбозах в схему лечения включают прямые антикоагулянты и фибринолитики.
Прогноз и профилактика
Прогноз в большинстве случаев тяжелый. При раннем выявлении внутричерепных поражений исход заболевания чаще благоприятный. В сложных ситуациях, при сочетании двух и более форм ОВО показатель летальности даже при условии полноценного лечения составляет от 5 до 25%. Профилактические мероприятия подразумевают своевременную адекватную терапию заболеваний среднего и внутреннего уха, точное соблюдение рекомендаций лечащего отоларинголога, коррекцию сопутствующих иммунодефицитных состояний, эндокринных нарушений, врожденных и приобретенных аномалий развития височной кости.
Читайте также:
Капли от отита у животных
Хронический гнойный средний отит – длительное воспалительное инфекционное заболевания полостей среднего уха, которое имеет течение с периодами ремиссий и обострений. Начало заболевания связано с острым отитом, иногда перенесенным в детстве.
Осложнения:
- Приводит к развитию тугоухости.
- Вызывает парез лицевого нерва, лабиринтит.
- Приводит к развитию внутричерепных осложнений. Это имеет
большую опасность для жизни больного.
Этиология: инфекционные агенты – тафилококк или смешанная микробная флора, плесневые грибы.
Патогенез: Высокая вирулентность микроорганизмов и ослабление иммунитета способствует переходу острого отита в хронический. Важное значение в этом имеет наличие других сопутствующих заболеваний. Определенную роль играет состояние полости носа, околоносовых пазух и глотки. Нередко рецидивирующий острый гнойный средний отит переходит в хронический.
Клинические симптомы: Обязательными признаками являются следующие:
- Длительное гноетечение из уха. Заболевание длится годами;
- Стойкая перфорация барабанной перепонки со омозолевшими краями;
- Снижение слуха, шум в ухе.
Заболевание делится на две формы: мезотимпанит и эпитимпанит.
Мезотимпанит
Мезотимпанит является доброкачественной формой хронического отита. При мезотимпаните поражаются средний и нижний этажи барабанной полости. Поражается только слизистая оболочка. Больные жалуются на гноетечение из уха и снижение слуха. Боль в ухе появляется только в период обострения. Общее состояние в период ремиссии не страдает. Во время обострения гноетечение из ушей усиливается. Появляется боль в ухе, общее недомогание. Температура тела повышается. Определяются воспалительные изменения в анализе крови.
Диагноз устанавливается на основании отоскопической картины. В наружном слуховом ходе находится слизисто-гнойное содержимое без запаха.
Редко выделения из уха могут иметь неприятный запах. Это происходит у неопрятных больных, при плохом проведении туалета уха. После промывания и тщательного туалета уха неприятный запах исчезает. Барабанная перепонка имеет почти обычный цвет. Перфорация барабанной перепонки центральная или ободковая. Это означает, что вокруг перфорации сохраняется ободок барабанной перепонки. Перфорация может быть большая. Тогда через нее можно осмотреть барабанную полость. В барабанной полости будет видно гной, утолщенную слизистую оболочку.
Могут быть грануляции. Большые грануляции имеют название ушного полипа. Полип может быть большим. Даже может закупоривать наружный слуховой ход. Это приводит к задержке гноя в полостях среднего уха и ведет к развитию осложнений.
Неотложной помощью в таком случае является удаление полипа.
При мезотимпаните ухудшается слух. Нарушается звукопароведение. Это можно обнаружить при аудиометрическом исследовании.
Эпитимпанит
Эпитимпанит является недоброкачественной формой хронического отита. При этой форме происходит разрушение костных стенок полостей среднего уха. Это может приводить к тяжелым осложнениям. При эпитимпаните обязательно поражается верхний этаж барабанной полости. Могут поражаться также и другие этажи.
Главной наиболее характерной чертой эпитимпанита есть повреждение не только слизистой оболочки барабанной полости, но и костных образований. Поражения кости имеет название кариеса.
Больные предъявляют те же самые жалобы, что и при мезотимпаните. Кроме этого, они могут жаловаться на головную боль и головокружение. В период ремиссии общее состояние удовлетворительное.
Во время обострения повышается температура, появляется боль в ухе. Больной испытывает общее недомогание. Усиливается гноетечение из уха. Появляются воспалительные изменения в анализе крови.
Диагноз ставится на основании отоскопической картины. При эпитимпаните в наружном слуховом ходе содержится гной. Количество гноя часто небольшое. Гной всегда имеет неприятный запах. Это происходит вследствие кариеса кости. Так же, как бывает неприятный запах при кариесе зубов.
Обильными выделения при эпитимпаните бывают в двух случаях. Первый – при нагноении холестеатомы. Второй – при экстрадуральном абсцессе, когда происходит скопление гноя между костью и твердой мозговой оболочкой.
Выделения при этом обильные, быстро появляются после туалета ушей, имеют смрадный запах. В таких случаях ухо надо оперировать обязательно.
Перфорация барабанной перепонки при эпитимпаните краевая. Она доходит до костного барабанного кольца. Перфорация обязательно охватывает ненатянутую (верхнюю) часть барабанной перепонки.
Характерным для эпитимпанита является наличие хода в надбарабанное пространство. Проводят зондирование перфорации зондом Воячека. Если ход есть, то зонд легко проваливается в аттик.
Одним из осложнений эпитимпанита является холестеатома. Это наслоение чешуек эпидермиса и холестерина. Имеет оболочку. Холестеатома в ухе является продуктом воспаления. Часто она нагнаивается. Опасность холестеатомы в том, что она разрушает кость. В зависимости от направления роста холестеатомы, она может разрушить канал лицевого нерва, внешний полукружный канал, верхнюю стенку барабанной полости или сосцевидного отростка. Тогда возникает парез лицевого нерва, лабиринтит или внутричерепные осложнения.
Лицо человека становится асимметричным.
Читайте также:
Сколько держится температура при отите среднего уха у детей
Помогает выявить холестеатому рентгенологическое исследование. Делают снимок височной кости в укладке по Шюллеру.
Поражение слуха при эпитимпаните выражено больше, чем при мезотимпаните. Кроме нарушения звукопроведения, имеет место нарушение звуковосприятия. Это определяется при аудиометрии.
У большинства больных хронический гнойный средний отит имеет аллергический компонент.
В комплексное исследование больного хроническим гнойным средним отитом должны входить консультации невропатолога и окулиста. Это необходимо для того, чтобы вовремя диагностировать возникновение внутричерепных осложнений. Обязательно должна быть проведена рентгенография височной кости и аудиометрия.
Лечение хронического гнойного среднего отита
К общим лечебным мероприятиям относится закаливание организма. Проводятся мероприятия по укреплению общей реактивности организма. Назначают препараты кальция, витамины, противоаллергические препараты, применяют пантокрин, китайский лимонник, элеутерококк. Показано общее облучение ультрафиолетовыми лучами, рациональное питание.
Антибиотики применяются только в период обострения процесса.
Обязательно обследуют нос, носо- и ротоглотку, придаточные пазухи носа. При необходимости эти органы санируют.
Местное лечение хронического гнойного отита состоит из двух этапов:
- Туалет уха;
- Введение в барабанную полость лекарственных средств.
Перед проведением местного лечения удаляются грануляции и
полипы из барабанной полости, если они есть. Большие грануляции или ушные полипы удаляют конхотомом, кюреткой или петлей. Небольшие грануляции прижигают ляписом.
1 этап – туалет уха. Закапывают в ухо 3% раствор перекиси водорода. Гной удаляют с помощью ушного зонда и ваты. Можно вымывать гной из барабанной полости дезинфицирующими растворами. Это растворы этакридина лактата, фурацилина, марганцовокислого калия, борной кислоты, хлорофиллипта. Для размягчения гноя промывают ухо ферментами: трипсином, хемопсином, рибонуклеазой, желудочным соком. При большой перфорации промывание осуществляют с помощью шприца Жане. Для промывания надбарабанного пространства используют канюлю Гартмана. После промывания ухо тщательно высушивают с помощью ушного зонда с ватой, или тупой канюли, соединенной с электроотсосом. Тщательный туалет уха является залогом успешного лечения.
2 этап – ведение в барабанную полость лекарственных средств. В барабанную полость вводят вещества в таких лекарственных формах: 1) растворы (капли); 2) порошки; 3) мази. Главным образом это антисептики и высушивающие средства.
Используют спиртовые растворы: 3% борный спирт, 5% спиртовой раствор сульфацила-натрия, 5% салициловый спирт, 1% спиртовой раствор хлорофиллипта, 1% спиртовой раствор новокаина, 2,5% спиртовой раствор грамицидина, спиртовые растворы чеснока и лука. Хороший эффект дает использование сока алоэ, ромашки (ромузулан), чистотела, 1%, 5%, 10% растворов сульфаниламидов. Растворы антибиотиков назначают после получение результата анализа микрофлоры из уха на чувствительность к антибиотикам.
С успехом используются вяжущие средства: 1-2% азотнокислое серебро, серебряная вода, трихлоруксусная кислота.
После проведения туалета уха в барабанную полость можно вдувать порошки: йодоформа, ксероформа, борной кислоты, антибиотиков, сульфаниламидов. Вдувание проводят осторожно, чтобы не было избытка порошка.
Гнойный средний отит грибкового происхождения является разновидностью отомикоза. При его лечении используют генциан виолет (синьку), жидкость Кастеллянни, бриллиантовую зелень, нитрофунгин, резорциновый спирт, флавофунгин, нистатиновую мазь, клотримазол, амфотерицин В, низорал, дифлюкан.
При аллергических проявлениях отита используют 5% раствор димедрола, дексаметазон (глазные капли), мази – оксикорт, флуцинар, лоринден С, гидрокортизоновая, преднизолоновая.
При лечении хронического гнойного среднего отита используют разнообразные физиотерапевтические процедуры. Это электрофорез эндоназально с димедролом, хлористым кальцием, антибиотиками. Назначают электрофорез эндаурально с антибиотиками, 1-2% раствором азотнокислого серебра. На ухо назначают УВЧ, ЛУЧ-2, аэроионотерапию.
Применяют грязелечение: аппликации грязи на сосцевидный отросток. Использовать грязелечение можно только в период ремиссии. При отомикозе назначают эндаурально гелий-неоновый лазер, КУФ.
Лекарственные вещества, вводящиеся в ухо, следует заменять каждые 2-3 недели. Длительное использование спиртовых растворов нежелательно.
Главная рекомендация больным хроническим гнойным отитом-беречь ухо от воды. Во время купания или мытья головы больной должен закрывать ухо ватой, пропитанной вазелиновым, оливковым, или любым другим маслом.
Описанное лечение проводится чаще всего при мезотимпаните.
При эпитимпаните можно также начать с консервативного лечения. Однако основным методом лечения при эпитимпаните является хирургический.
В хирургическом лечении хронических гнойных средних отитов различают два вида операций:
- Санирующие операции. Основной санирующей операцией является радикальная операция. Она ликвидирует гнойный очаг в ухе. Ее цель – предотвратить возникновения отогенных осложнений.
- Слухоулучшающие операции – тимпанопластика. Их целью является улучшить слух. Различают 5 типов тимпанопластики по Вульштейну.
Рекомендовано читать также:

