|
Оценка отоскопической картины. Аудиометрия при остром среднем отитеПравильная оценка отоскопической картины иногда представляет известные трудности. При рубцовых изменениях барабанной перепонки, при больших перфорациях и элидермизации внутренней стенки барабанной полости нелегко решить вопрос, сохранилась ли барабанная перепонка. В таких случаях мы прибегаем к ощупыванию зондиком — если есть перепонка, то больной испытывает боль, так как в перепонке имеется богатая сеть веточек тройничного нерва; дотрагивание до промонтория не вызывает болевого ощущения. Дополнительные сведения дает проба с воронкой Зигле, которая прочно вошла в практику и стала составным элементом отоскопии. В диагностике заболеваний среднего уха имеет значение выяснение функции евстахиевой трубы. Хорошо известны патологические состояния в барабанной полости при нарушении проходимости трубы, а также терапевтический эффект, который получается после восстановления ее просвета. Следует к этому добавить, что изменение давления в барабанной полости при закупорке трубы не только сказывается на функции звукопроводящего аппарата, но и в известной мере отражается на режиме внутрилабиринтного давления и на функции преципитирующих нервных клеток. В современной функциональной хирургии при реставрации барабанной полости (тимпанопластика) свободная проходимость трубы является непременным условием успешного результата операции. Для исследования функции евстахиевой трубы применяется продувание уха и выслушивание звука прохождения воздуха через трубу. Аудиограммы при остром среднем отите Аудиометрия при остром среднем отитеАнамнез, общеклиническое исследование больного, отоскопия и аудиометрия позволяют получить необходимые данные для оценки характера поражения слуха, его степени и для выбора тех или иных методов лечения. Для более глубокого понимания сущности процесса в каждом отдельном случае и конкретизации мероприятий необходимо иметь в виду, что при любой из известных болезненных форм существуют различные вариации как в симптоматологии, так и в течении. Эти вариации имеют значительную амплитуду и нередко преодолеть трудности дифференциального диагноза, например отосклероза и кохлеарного неврита, возможно только при глубоком анализе всего комплекса клинических и функциональных признаков. Как уже сказано выше, диагностика облегчается, если установлена причина заболевания, но это далеко не всегда легко; кроме того, в пределах одной и той же этиологической группы имеются также различия, связанные с рядом дополнительных факторов, в частности с индивидуальным патогенезом. Однако при всем многообразии проявлений заболеваний органа слуха все же можно при достаточном знакомстве с отдельными нозологическими формами и критической оценке результатов исследования поставить правильный диагноз и дать мотивированное заключение о показаниях к хирургическому лечению, слухопротезированию и т. д. Острый средний отит представляет собой в большинстве случаев процесс, при типичном течении которого различают три периода. Первый из них — возникновение и развитие воспалительного процесса в слизистой оболочке барабанной полости и образование экссудата. При этом наряду с повышением давления в среднем ухе ухудшается подвижность барабанной перепонки, цепи слуховых косточек и мембраны круглого окна лабиринта. В этот период понижение звукопроводящей функции, а нередко и звуковоспринимающей, достигает наибольшей величины, что отчасти обусловлено интоксикацией или инфицированием внутреннего уха. Аудиограммы при остром среднем отите При исследовании слуха отмечается в большинстве случаев резкое понижение восприятия всех тонов, шепотная речь не воспринимается, разговорная речь слышна только на небольшом расстоянии — у ушной раковины. Больные жалуются на то, что их собственный голос резко отдает, в ухо или в голову, что они совершенно не слышат больным ухом, хотя при этом заболевании понижение слуха не превышает на отдельные тоны 60—65 дб. Эти жалобы объясняются тем, что быстро возникающее понижение слуха обычно субъективно воспринимается острее, чем наступающее медленно, а также тем, что при остром среднем отите восприятие речи страдает нередко в большей степени, чем восприятие чистых тонов. Это положение, выявленное В. И. Воячеком около 60 лет тому назад, связано, по его мнению, с нарушением аккомодационной деятельности мышц среднего уха. Второй период отита — прободение барабанной перепонки, гноетечение из уха — обычно сопровождается снижением давления в среднем ухе и постепенным уменьшением воспалительных изменений, в том числе и в области лабиринтных окон. При этом больной отмечает уменьшение заложенности уха, ослабление столь неприятного звучания в голове собственного голоса и улучшение слуха. В третьем периоде острого среднего отита гноетечение с каждым днем уменьшается, воспалительные изменения исчезают и слух может восстановиться до нормы. Таким образом, при типичном течении острого среднего отита изменения слуховой функции в общем отражают характер, выраженность и динамику патологических изменений в среднем ухе, претерпевающих различные этапы развития. Очевидно, что и аудиограммы, сделанные в разные периоды заболевания, будут между собой различаться. На высоте заболевания у значительной части больных, как показали наши исследования, восприятие высоких звуков страдает в большей степени, чем восприятие низких; в части случаев то же относится к восприятию через кость. По данным М. С. Зиненберг, обследовавшей 200 больных с различными процессами в среднем ухе, восприятие высоких звуков через воздух более понижено, чем низких. — Также рекомендуем «Аудиометрия и изменения слуха при катаре среднего уха» Оглавление темы «Диагностика нарушений слуха (тугоухости)»:
|
Острый средний отит — быстро протекающее инфекционно-воспалительное поражение полости среднего уха. Клиническая картина заболевания включает выраженный болевой синдром, общие проявления, ощущения заложенности и шума в ухе, понижение слуха, возникновение перфоративного отверстия в барабанной перепонке с последующим гноетечением. В основе диагностики острого среднего отита лежат данные клинического анализа крови, отоскопии, различных исследований слуха, рентгенографии черепа, рино- и фарингоскопии, обследования слуховой трубы. Общее лечение заболевания проводится антибиотиками, антигистаминными и противовоспалительными препаратами, местная терапия заключается в продувании слуховой трубы, закапывании ушных капель, промывании барабанной полости, введении в нее протеолитических ферментов и пр.
Общие сведения
Острый средний отит является широко распространенной патологией как в детской, так и во взрослой отоларингологии. Острый средний отит — это наиболее часто встречающаяся форма отита. С одинаковой частотой он наблюдается у женщин и у мужчин. В последнее время отмечается склонность острого среднего отита к более вялому течению у взрослых и частому рецидивированию у детей. У детей младшего возраста в связи с особенностями строения уха при остром среднем отите сразу происходит вовлечение в воспалительный процесс антрума — пещеры сосцевидного отростка и заболевание носит характер отоантрита. Острый средний отит может возникнуть как осложнение евстахиита, экссудативного среднего отита, аэроотита, травмы уха, воспалительных заболеваний носоглотки.
Острый средний отит
Причины острого среднего отита
До 65% острых средних отитов обусловлены стрептококковой инфекцией. На втором месте по частоте встречаемости стоят пневмококк и стафилококк. В редких случаях острый средний отит бывает вызван дифтерийной палочкой, протеем, грибами (отомикоз).
Наиболее часто проникновение инфекционных агентов в барабанную полость происходит тубогенным путем — через слуховую (евстахиеву) трубу. В норме слуховая труба служит барьером, защищающим среднее ухо от попадания в него находящихся в носоглотке микроорганизмов. Однако при различных общих и местных заболеваниях ее функция может нарушаться, что приводит к инфицированию барабанной полости с развитием острого среднего отита. Провоцирующими дисфункцию слуховой трубы факторами являются: воспалительные процессы верхних дыхательных путей (ринит, озена, фарингит, ларингит, ларинготрахеит, ангина, аденоиды, хронический тонзиллит); доброкачественные опухоли глотки (ангиома, фиброма, невринома и др.), опухоли полости носа; хирургические вмешательства в полости носа и глотки; диагностические и лечебные манипуляции (продувание по Политцеру, катетеризация слуховой трубы, тампонада при носовом кровотечении).
Развитие острого среднего отита может произойти при инфицировании барабанной полости транстимпанальным путем — через поврежденную барабанную перепонку, что случается при травмах и инородных телах уха. Гематогенный путь инфицирования полости среднего уха с возникновением острого среднего отита может наблюдаться при общих инфекциях (кори, гриппе, скарлатине, краснухе, дифтерии, сифилисе, туберкулезе). Казуистическим случаем считается появление острого среднего отита в связи с проникновением инфекции из полости черепа или внутреннего уха.
В возникновении острого среднего отита имеет значение состояние общего и местного иммунитета. При его снижении даже сапрофитная флора, попадающая в барабанную полость из носоглотки, может стать причиной развития воспаления. Относительно недавно было доказано, что в появлении острого среднего отита не последняя роль принадлежит так называемой ушной аллергии, которая является одним из проявлений системной аллергии наряду с аллергическим ринитом, экссудативным диатезом, аллергическим дерматитом, астматическим бронхитом и бронхиальной астмой. Немаловажную роль в развитии острого среднего отита играют неблагоприятные факторы внешней среды: переохлаждение, сырость, резкие перепады атмосферного давления.
Симптомы острого среднего отита
Острый средний отит в среднем длится около 2-3 недель. В течении типичного острого среднего отита выделяют 3 последовательные стадии: доперфоративную (начальную), перфоративную и репаративную. Каждая из этих стадии имеет свои клинические проявления. При своевременно начатом лечении или высокой иммунологической резистентности организма острый средний отит может принять абортивное течение на любой из указанных стадий.
Доперфоративная стадия острого среднего отита может занимать всего несколько часов или длится 4-6 дней. Она характеризуется внезапным началом с интенсивной боли в ухе и выраженными общими симптомами. Боль в ухе обусловлена быстро нарастающей воспалительной инфильтрацией слизистой оболочки, выстилающей барабанную полость, в результате чего происходит раздражение нервных окончаний языкоглоточного и тройничного нервов. Боль в ухе при остром среднем отите носит резкий мучительный и иногда нестерпимый характер, приводит к нарушению сна и снижению аппетита. Она иррадиирует в височную и теменную области. Болевой синдром у пациентов с острым средним отитом сопровождается шумом и заложенностью в ухе, снижением слуха. Эти симптомы связаны с тем, что из-за воспалительных изменений снижается подвижность находящихся в барабанной полости слуховых косточек, отвечающих за звукопроведение.
Общие проявления острого среднего отита заключаются в повышении температуры тела до 39°С, общей слабости, ознобе, утомляемости и разбитости. Гриппозный, скарлатинозный и коревой острый средний отит часто протекают с одновременным вовлечением в воспалительный процесс внутреннего уха с развитием лабиринтита и понижением слуха за счет расстройств звуковосприятия.
Перфоративная стадия острого среднего отита наступает, когда в результате скопления в барабанной полости слишком большого количества гнойного содержимого происходит разрыв барабанной перепонки. Через образовавшееся отверстие начинают выходить вначале слизисто-гнойные, затем гнойные, а иногда и кровянистые выделения. При этом самочувствие больного острым средним отитом заметно улучшается, боль в ухе стихает, температура тела подает. Гноетечение обычно продолжается не более недели, после чего заболевание переходит в следующую стадию.
Репаративная стадия острого среднего отита характеризуется резким уменьшением и прекращением гноетечения из уха. У большинства пациентов в этой стадии происходит самопроизвольное рубцевание перфоративного отверстия в барабанной перепонке и полное восстановление слуха. При размере перфорации более 1 мм фиброзный слой барабанной перепонки не восстанавливается. Если зарастание отверстия все же происходит, то место перфорации остается атрофичным и тонким, поскольку образовано лишь эпителиальным и слизистым слоями без фиброзного компонента. Большие перфорации барабанной перепонки не закрываются, по их краю наружный эпидермальный слой перепонки срастается с внутренним слизистым, образуя омозолелые края остаточного перфоративного отверстия.
Острый средний отит далеко не всегда протекает с типичной клинической картиной. В некоторых случаях наблюдается изначально затяжной и слабовыраженный характер симптомов, отсутствие самопроизвольного разрыва барабанной перепонки. С другой стороны, возможно крайне тяжелое течение острого среднего отита с выраженной симптоматикой, температурой до 40°С, головной болью, тошнотой и головокружением. Задержка образования перфорации барабанной перепонки в таких случаях приводит к быстрому распространению инфекции в полость черепа с развитием внутричерепных осложнений. В случаях, когда после перфорации барабанной перепонки улучшение состояния не происходит, отмечается усугубление симптоматики после некоторого улучшения или наблюдается длительное (более месяца) гноетечение, следует думать о развитии мастоидита.
Диагностика острого среднего отита
Диагноз острого среднего отита устанавливается отоларингологом на основании жалоб пациента, характерного внезапного начала заболевания, результатов отоскопии и микроотоскопии, исследования слуха. В клиническом анализе крови у пациентов с типичным течением острого среднего отита выявляется умеренный лейкоцитоз и нерезкое ускорение СОЭ. Тяжелые формы заболевания сопровождаются выраженным лейкоцитозом со сдвигом формулы влево, значительным ускорением СОЭ. Неблагоприятным признаком, свидетельствующим о развитии мастоидита, является отсутствие эозинофилов.
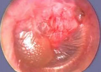
Отоскопическая картина острого среднего отита зависит от стадии заболевания. В начальном периоде выявляется инъекция радиальных сосудов барабанной перепонки. Затем гиперемия приобретает разлитой характер, отмечается инфильтрация и выпячивание перепонки в сторону слухового прохода, иногда присутствует беловатый налет. В перфоративной стадии при отоскопии видна щелевидная или округлая перфорация барабанной перепонки, наблюдается пульсирующий световой рефлекс — синхронная с пульсом пульсация гноя, видимого через перфорацию. В отдельных случаях наблюдается пролабирование через перфоративное отверстие слизистой барабанной полости, напоминающей грануляционную ткань. В репаративной стадии острого среднего отита при отоскопии может отмечаться заращение перфорации или ее организация в виде уплотнения и омозолелости края.
Аудиометрия, пороговая аудиометрия и исследование камертоном выявляют кондуктивную тугоухость. Данные акустической импедансометрии говорят о сниженной подвижности слуховых косточек. При подозрении на мастоидит и петрозит проводится рентгенография черепа в области сосцевидного отростка, для исключения внутричерепных осложнений МРТ и КТ головного мозга. Выявление заболеваний носоглотки, которые могли явиться причиной острого среднего отита, осуществляется при помощи риноскопии, фарингоскопии, ларингоскопии, определения проходимости евстахиевой трубы, рентгенографии околоносовых пазух.
Лечение острого среднего отита
Острый средний отит лечится в зависимости от стадии и, как правило, в амбулаторных условиях. При развитии осложнений показана госпитализация больного. С целью купирования болевого синдрома в доперфоративной стадии острого среднего отита применяют содержащие анестетики ушные капли. Эффективно закапывание подогретых до 38-39 °С капель с последующим закрытием слухового прохода ватой с вазелином, которую извлекают через несколько часов. Используют также турунды, смоченные спиртовым р-ром борной кислоты. Для снятия отечности и улучшения дренажной функции слуховой трубы назначают антигистаминные препараты и назальные сосудосуживающие капли: оксиметазолин, ксилометазолин, нафазолин, тетризолин, ксилометазолин.
Общая терапия пациентов с острым средним отитом проводится противовоспалительными препаратами: диклофенаком, ибуфеном и пр. В случае повышения температуры тела и интенсивного болевого синдрома показана антибиотикотерапия. Препаратами выбора являются амоксициллин, цефуроксин, спирамицин. Начав прием антибиотика, необходимо его пропить в течение 7-10 дней, поскольку досрочное прекращение антибиотикотерапии может привести к возникновению рецидивов и осложнений, хронизации отита, образованию спаек внутри барабанной полости.
Хороший эффект в доперфоративной стадии острого среднего отита дает продувание слуховой трубы по Политцеру и промывание среднего уха растворами антибиотиков в сочетании с глюкокортикостероидными препаратами. Выпячивание барабанной перепонки на фоне проводимого лечения говорит о том, что несмотря на все лечебные мероприятия, в барабанной полости происходит скопление большого количества гноя. Такое состояние чревато развитием осложнений и требует проведения парацентеза барабанной перепонки.
В перфоративной стадии острого среднего отита наряду с применением антигистаминных, сосудосуживающих и антибактериальных средств проводят туалет наружного уха и транстимпанальное введение препаратов. Для уменьшения отека и секреции слизистой используют фенспирид, для разжижения густого секрета — муколитики (ацетилцистеин, растительные препараты). Назначают физиотерапевтическое лечение: УФО, УВЧ и лазеротерапию.
Лечение в репаративной стадии острого среднего отита направлено на предотвращение образования спаек, восстановление функций слуховой трубы, повышение защитных сил организма. Применяют продувание слуховой трубы, введение через нее в барабанную полость протеолитических ферментов, пневмомассаж барабанной перепонки, ультрафонофорез с гиалуронидазой, витаминотерапию, прием биостимуляторов (маточное пчелиное молочко, гемодериват крови телят).
Прогноз острого среднего отита
При своевременном и грамотном лечении, достаточной активности иммунных механизмов острый средний отит заканчивается полным выздоровлением и 100% восстановлением слуха. Однако позднее обращение к врачу, плохое состояние иммунитета, неблагоприятные внешние воздействия и фоновые заболевания могут стать причиной совершенно иного исхода заболевания.
Острый средний отит может трансформироваться в хронический гнойный средний отит, который сопровождается прогрессирующей тугоухостью и рецидивами гноетечения. В некоторых случаях воспалительный процесс приводит к выраженным рубцово-спаечным изменениям в барабанной полости, нарушающим подвижность барабанных косточек и являющимся причиной развития адгезивного среднего отита со стойким понижением слуха.
В тяжелых случаях острый средний отит сопровождается развитием целого ряда осложнений: гнойного лабиринтита, мастоидита, неврита лицевого нерва, петрозита, менингита, тромбоза сигмовидного синуса, абсцесса головного мозга, сепсиса, некоторые из которых могут привести к летальному исходу.
Читайте также:
Какие капли в ухо при отите собаке



