Туберкулез и пневмония обладают сходными симптомами, из-за чего могут возникнуть проблемы при диагностике. Отличить пневмонию от туберкулеза можно, т.к. туберкулезная инфекция вызывается исключительно микобактериями Mycobacterium tuberculosis, пневмония же – различными вирусами, бактериями, грибками.
Причины одинаковые или разные
Провоцируются пневмония и туберкулез заражением через респираторные органы. Воспаление легких – это самостоятельное заболевание, которое поражает только дыхательную систему.
Свое название болезнь получила по имени самого распространенного возбудителя этого заболевания Streptococcus pneumonia или пневмококка. На долю пневмококковых инфекций приходится до 70% всех легочных инфекций.
Туберкулез – это заболевание, возникающее при заражении микобактериями, способное поразить любой орган тела, исключая ногти и волосы. В большинстве случаев поражаются легкие.
Болезнь может протекать скрытно, переходя при снижении иммунитета в активную форму. По данным ВОЗ микобактерией заражено более 30% человечества, но проявляется болезнь только у 10% из инфицированных.
Различают туберкулезную инфекцию:
- легочную (развивается только в легких);
- внелегочную (поражает другие органы тела).
Первично микобактерии расселяются в легких. После выздоровления могут остаться неактивные закрытые очаги.
Возможно ли одновременное течение
Заболевания не могут протекать одновременно. У пневмококковой инфекции инкубационный период составляет 1-3 дня, из-за чего признаки заражения появляются почти сразу после контакта с больным человеком.
При первичном заражении туберкулезной палочкой между инфицированием и появлением симптомов проходит период от 1 месяца до 3 лет.
Одной из форм туберкулеза является казеозная пневмония.
Это тяжелое состояние развивается при заражении M. tuberculosis, характеризуется тяжелым протеканием, сопровождается ознобом, головной болью, отсутствием аппетита. Проявляется казеозная пневмония при туберкулезе кашлем, одышкой, проливным ночным потом, нарушением сна.
Симптомы и признаки
Острая форма легочного воспаления отличается бурным началом, и ее не спутать с начальной формой туберкулеза, характер протекания которого отличается постепенным нарастанием симптомов. Но есть виды туберкулезного инфицирования, которые определенными симптомами сходны с пневмонией.
Похож проявлениями на бактериальное поражение легких туберкулез:
- Диссеминированный. Начинается с резкого подъема температуры, одышки, головной боли, иногда отмечается увеличение печени, селезенки.
- Инфильтративный. Развивается на фоне ОРЗ, сопровождается лихорадкой, появлением крови в мокроте.
К симптомам туберкулеза на первых стадиях болезни относятся:
- кашель с мокротой;
- одышка;
- ухудшение аппетита;
- потеря веса;
- одышка;
- боль за грудиной, отдающая в спину и ребра;
- потеря веса даже при сохранении аппетита;
- повышение температуры до субфебрильных значений (37,5- 38°C);
- блеск глаз.
Отличается пневмония от туберкулеза интенсивностью нарастания проявлений. Туберкулезная инфекция развивается долго, и кашель появляется не сразу.
При пневмококковом воспалении кашель возникает сразу после ухудшения самочувствия. Воспаление протекает в острой (крупозной или очаговой) и затяжной форме.
Крупозное воспаление характеризуется бурным началом;
- жаром;
- резкой болью в груди;
- кашлем;
- кровохарканьем;
- одышкой;
- иногда – спутанностью сознания;
- отсутствием аппетита.
Очаговое воспаление легких часто развивается как осложнение ОРЗ или гриппа. На начало болезни указывает появление боли в груди, одышки при физической нагрузке, появление ночных потов, снижение веса.
Затяжная пневмония отмечается у людей с ослабленным иммунитетом. Ее можно перепутать с туберкулезом легких. Заболевание сложно отличить от туберкулезного заражения даже современными способами диагностики.
Особенности анамнеза
В анамнезе пневмонии отмечается предшествующие ей эпизоды переохлаждения, злоупотребления алкоголем, вирусной инфекции или гриппа. Частые легочные инфекции преследуют курильщиков.
К предрасполагающим факторам инфицирования палочкой Коха относятся плохое питание, проживание в сыром, холодном климате.
Если в окружении на работе или дома окажется туберкулезный больной, то человек также попадает в группу риска.
Туберкулез проявляется:
- впалостью подключичных и надключичных ямок, что вызвано недостаточным питанием;
- отечностью лица;
- атрофией дыхательной мускулатуры;
- уменьшением объема легких;
- отставанием пораженной стороны груди при дыхании;
- сужением межреберных промежутков;
- деформацией пальцев в виде «барабанных палочек» с расширенными концевыми фалангами;
- выпуклой формой ногтей («часовое стекло»).
Осматривая больного, врач определяет состояние лимфатических узлов. При туберкулезе легких могут воспаляться шейные, подмышечные, грудные узлы.
Для туберкулезного заболевания характерно непостоянство температуры. Отличие пневмонии от туберкулеза в том, что повышение температуры при туберкулезном инфицировании умеренное, не превышающее +38°C, а при воспалении легких развивается сильный жар.
Различие по физикальной диагностике
Отличие, которое выявляется при дифференциальной диагностике пневмонии и туберкулеза, относится к возбудителю. У инфицированного микобактерией человека в мокроте выявляются Mycobacterium tuberculosis.
Воспалительное поражение легких вызывают стрептококки, стафилококки, синегнойная палочка, легионеллы, хламидии, микоплазмы, цитомегаловирус и другие патогенные микроорганизмы.
Аускультативные признаки
Дифференциальный диагноз основан на выслушивании легких фонендоскопом, лабораторных исследованиях крови и мокроты, данных рентгенограммы.
Аускультацией при воспалительных заболеваниях легких выявляют, что:
- притуплен перкуторный звук над пораженным легким;
- дыхание жесткое;
- голосовое дрожание усилено;
- прослушиваются влажные или сухие хрипы;
- отмечается крепитация (хруст, появляющийся при разлипании альвеол);
- возникает шум трения плевры.
На начальной стадии туберкулеза выслушивание легких фонендоскопом может оказаться полностью безрезультатным. Но по мере разрушения легочной ткани появляются изменения в бронхах.
Разница между патологиями в том, что признаки бронхита при воспалениях легких наблюдаются с первого дня. При туберкулезном процессе разрушение идет с паренхимы, распространяясь на бронхи.
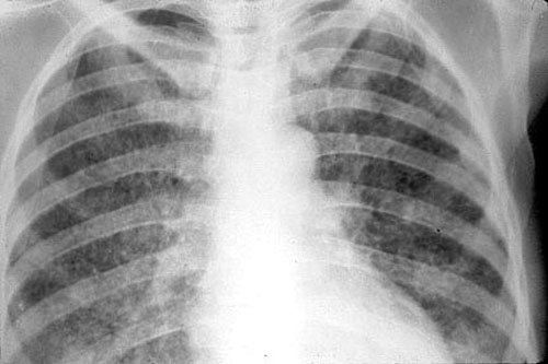
Рентген
Опасным воспалением при туберкулезе или пневмонии считается верхнедолевой очаг поражения, который чаще всего поражается микобактериями.
При пневмонии обнаруживаются на рентгене изменения, позволяющие отличить ее от туберкулеза:
- Уплотнение (инфильтрация) участка легких с неявными, размытыми очертаниями или в виде дымки (характерно для снимков при острой форме).
- Усиление легочного рисунка (при интерстициальной форме).
При верхнедолевой левосторонней пневмонии поражается до 5 долей легкого. Заболевания этого органа протекают тяжелее, чем правосторонняя пневмония, при которой поражается 1-3 участка.
Флюорографией при пневмонии чаще выявляется поражение нижних и средних частей с изменениями корня легкого.
При туберкулезном инфицировании изменения отмечаются в верхней части легкого, отличаются четкими очертаниями, без видимых изменений корня.
На рентгенограмме обнаруживается при туберкулезе:
- Диссеминированном. Множество мелких, хорошо очерченных, или более крупных пятен, есть каверны.
- Очаговом. Уплотнение находится не ниже 2 ребра, вокруг могут быть фиброзные тяжи, усилен легочный рисунок.
- Инфильтративном. Уплотнения правильной округлой формы на рентгеновском снимке в верхней легочной доле.
- Казеозной пневмонии. Множество полостей распада с неровными краями, очагами отсева, смещением средостения в больную сторону груди.
Читайте также:
Сколько дней могут быть хрипы при пневмонии
Лабораторные данные
В лейкоцитарной формуле при пневмонии наблюдается:
- сдвиг формулы влево, характеризующийся увеличением в крови количества молодых форм лейкоцитов;
- увеличение лейкоцитов, нейтрофилов;
- повышение СОЭ;
- повышение C-реактивного белка.
В мокроте обнаруживается повышенное количество нейтрофилов. При туберкулезном инфицировании в мокроте выявляется микобактерия.
На начальной стадии туберкулеза в анализе крови также обнаруживается сдвиг лейкоцитарной формулы влево, повышение СОЭ и C-реактивного белка, лейкоцитоз и нейтрофилез, но в меньшей степени, чем при пневмонии.
В начале болезни СОЭ возрастает до 25-30 мм/час, лейкоциты повышены незначительно или даже в пределах нормы.
По мере прогрессирования туберкулезного инфицирования эти показатели возрастают, но на ранних этапах определить, пневмония или туберкулез, по анализу крови невозможно.
Предположить туберкулез можно при этих показателях можно, если повышенному СОЭ и лейкоцитам сопутствует анемия, моноцитоз, лимфопения.
Разница в лечении
Микобактерия, вызывающая туберкулез, отличается повышенной устойчивостью к антибактериальным препаратам. Для подавления ее активности требуются назначение продолжительного курса лечения таких мощных антибиотиков, как Рифампицин, Изониазид. Курс лечения может продолжаться 2-6 месяцев.
Пневмония вызывается преимущественно пневмококками, стрептококками, стафилококками, и другими представителями бактерий, чувствительных к действию аминогликозидов, цефалоспоринов, пенициллинов.
Стандартный курс, который выбирают, чтобы лечить пневмонию, составляет 10-14 дней. При пневмонии улучшение наблюдается через 3-5 суток.
Когда применение Азитромицина, Хемомицина, Ипанема и других антибиотиков, эффективных при бактериальном воспалении, не дает улучшения, лечащий фтизиатр может назначить более сильные лекарства.
Может ли пневмония перейти в туберкулез
Воспаление в легких не может перерасти в туберкулезную инфекцию. Когда туберкулез определяют после легочного воспаления, то, скорее всего, изначально был поставлен неверный диагноз пневмонии.
Если человек болен пневмонией, иммунитет снижается, что создает условия для инфицирования палочкой Коха, попадающей в организм от больных. Но инкубационный период микобактерий длительный, во время болезни легких туберкулезное инфицирование не успеет развиться.
Задуматься о том, не может ли развиться туберкулез после пневмонии, стоит тем, кто ранее переболел туберкулезной инфекцией. Существует опасность переходящей в туберкулез верхнедолевой пневмонии, когда в организме уже присутствуют туберкулезные микобактерии.
Туберкулез и пневмония являются весьма распространенными заболеванием в России. Они сходны в проявлениях, а также имеют инфекционную природу. Возбудителем первого всегда является один из видов микобактерий, провоцирующих типичную клиническую картину «чахотки».
А термин «пневмония» считается обобщающим, подразумевая под собой недуг, причиной которого могут быть кокки, палочка Афанасьева-Пфейффера, Legionella pneumophila, другие бактерии и даже вирусы.
- Рентген
- Терапия
Клиническая картина
Смертность от туберкулеза в России насчитывает 25 000 человек в год. Нередки случаи, когда, подозревая у себя воспаление легких, больные занимаются самолечением. Улучшения клинической картины не наступает, и на поздней стадии болезни при обращении к врачу вырисовывается совершенно другой диагноз: туберкулез легких.
Тяжелые последствия заболевания вплоть до летального исхода обусловлены несвоевременным его обнаружением.
В то время как при правильной постановке диагноза в начале развития болезни прогноз значительно более благоприятный, и лечение осложняется меньшим количеством побочным эффектов.
Туберкулез и пневмония имеют принципиально разные подходы к лечению. Именно поэтому эти заболевания необходимо четко различать.
В большинстве случаев, верно предположить туберкулез или пневмонию можно по симптоматике. Пневмония начинается острым периодом и развивается бурно. Чаще всего она становится осложнением не пролеченного вовремя насморка, бронхита, вызванного гриппом или иной вирусной, а, возможно, и бактериальной инфекцией дыхательных путей. Причиной может стать ослабление иммунитета после химио- или лучевой терапии.
Болезнь сопровождается высокой температурой, сильным кашлем с отхождением мокроты гнойно-слизистого или слизистого характера. Подъемы температуры чередуются со спадами, в результате пациент чувствует,
- упадок сил,
- слабость,
- вялость,
- боль в груди,,
- усиливающаяся при вдохе одышка.
Течение туберкулеза на ранней стадии обычно протекает незаметно для больного, и поражение легких можно выявить только на рентгене. Позже недуг дает о себе знать кашлем, не проходящим по 3-4 месяца со слизистой, гнойно-слизистой мокротой и кровью. Температура держится в диапазоне 37,1-38 градусов, сопровождается потерей аппетита, снижением веса. Щеки приобретают румянец, а глаза – нездоровый блек. Симптомы проявляются волнообразно, носят циклический характер.
Иногда туберкулез развивается быстро, подобно пневмонии. В таких случаях постановку диагноза определят анализы и рентгенография.
Еще в начале 20-го века было выведено «золотое правило» отличия методом аускультации. При прослушивании стетоскопом легких больного пневмонией слышны:
- разнообразные хрипы, в том числе влажные мелкопузырчатые,
- бронхиальное дыхание,
- множественные щелчки, возникающие в конце вдоха (крепитация).
При туберкулезе дыхание может соответствовать здоровому состоянию (везикулярное дыхание), влажные хрипы присутствуют в небольшом количестве или отсутствуют вовсе.
Специфика диагностики и лечения
Если клиническая картина заболеваний при физикальном обследовании не всегда дает возможность сразу различить заболевания, то современные лабораторные и инструментальные методы позволяют это сделать безошибочно. Лабораторная диагностика
Чтобы отличить заболевания, существуют следующие анализы:
-
Общий анализа крови. В обоих случаях наблюдается увеличение скорости оседания эритроцитов. Но для пневмонии характерно значительное повышение лейкоцитов, в то время как при туберкулезе, лейкоцитоз выражен умеренно, повышены моноциты и низок уровень лимфоцитов.
При длительном течении болезни показатель гемоглобина опускается ниже отметки в 100 грамм-процентов.
- Туберкулиновые пробы. Реакция Манту позволяет сделать вывод о сопротивлении иммунитета против атаки микобактерий, а Диаскинтест является дополнительным исследованием, позволяющим оценить активность бактерий.
- Высевание микобактерий в мокроте является самым достоверным анализом. Необходимо делать 2-3 посева. При положительном результате сомнений для диагноза «туберкулез» не остается.
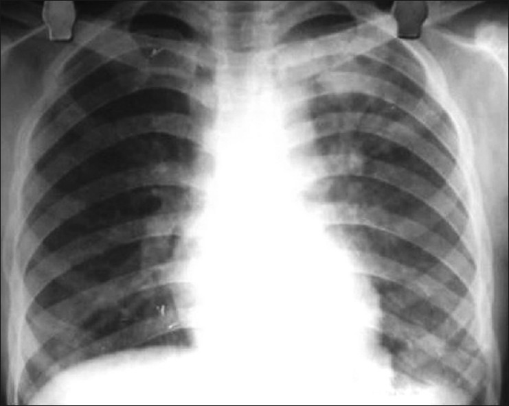
Рентген
Рентгеновские снимки на сегодняшний день являются самым надежным методом в постановке диагноза заболеваний легких. Их поражение присутствует в обоих случаях, однако картина существенно различается.
Рассмотрим основные отличия этих заболеваний на снимках:
- Локализация поражений легочной ткани. При пневмонии инфильтративные тени, характеризующие очаги поражения, просматриваются, как правило, в 3, 4, 5, 7, 8, 9 долях легкого, преимущественно поражая нижние участки. Туберкулез, в свою очередь, имеет одностороннюю локализацию, в большинстве случаев поражая правую долю легких в 1, 2, 6 сегментах.
- Очертания теней. При пневмонии инфильтраты (рентгеновские тени) имеют размытые, нечеткие очертания. В острый период заболевания затемнение напоминает дымку, а по мере развития воспаления интенсивность теней возрастает, но нечеткий характер краев сохраняется. Туберкулез же имеет тени с выраженным четким рисунком.
-
Форма теней. Очаги поражения при пневмонии, как правило, округлой, неправильной, кольцевидной или веретенообразной формы. Площадь поражения зависит от формы заболевания:
- очаговые тени имеют белый цвет и в диаметре не превышают полутора сантиметров, бывают в начале заболевания или при выздоровлении,
- долевая форма характеризуется полным поражением доли легкого,
- сегментарные тени – инфильтрация определенного сегмента,
- крупозная форма – самый тяжелый вариант, при котором воспаляются оба легких, сопровождается различными множественными очагами теней с обеих сторон органов.
Читайте также:
Парафин при пневмонии для детей
Инфильтраты при туберкулезе зависят от формы данного заболевания:
- Диссеминированный туберкулез сопровождается множественными мелкими очагами до 2 мм в диаметре,
- Очаговый , имеет один или несколько теней округлой, эллиптической, реже вытянутой формы с низкой интенсивностью, при которой очаги поражений темнее костной ткани,
- Казеозная форма является самой тяжелой и сопровождается затемнением нескольких долей или даже целого легкого, тень изменяется по мере распада от менее интенсивной до более выраженной,
- Кавернозный , характеризуется очаговым затемнением с просветом посередине (каверна).
Рентгеновские снимки может верно интерпретировать только специалист, имеющий опыт работы в данной области.
Терапия
Основа лечения всех видов пневмонии – антибиотики. Выбор лекарства определяется родом бактерий, вызвавших заболевание. При правильном выборе средства на 3-й день болезни должно наступить улучшение состояния и нормализация температуры.
В терапии применяются также разжижающие мокроту и расширяющие бронхи препараты, как внутрь, так и ингаляционно. Частью лечения является физиотерапия в виде лечебной физкультуры и вибромассажа.
Лечение туберкулеза – процедура значительно более длительная, включающая пребывание в стационаре 3-4 месяца и несколько месяцев амбулаторного наблюдения. Антибиотики часто бессильны против микобактерий, поэтому используются 4 и 5-е схемы лечения химиотерапией. В редких случаях запущенное заболевания требует хирургического вмешательства.
Своевременное обращение к врачу и правильная постановка диагноза, будь то туберкулез или форма пневмонии, ускорит выздоровление и позволит избежать тяжелых последствий.
Загрузка…
Туберкулез — это заболевание, которое для многих звучит как приговор. Другие считают, что эта болезнь возникает только у неблагополучных людей. Однако туберкулез легких — это излечимое заболевание, которое получает все большее распространение в наши дни среди всех слоев населения. Поэтому важно знать, как выглядит туберкулез на снимке и как его отличить от других патологий, поражающих легкие.
Что можно увидеть при помощи флюорографии
Данный способ диагностики очень распространен для раннего выявления патологии легких. Это рентгенологический метод, который заключается в отражении рентгеновских лучей от тканей внутренних органов. Ткани разной плотности по-разному способны отражать излучение, что и дает возможность увидеть их на снимке.
Что показывает флюорография легких? С ее помощью можно увидеть такие изменения органов грудной клетки:
- нарушения структуры тканей легкого;
- воспаление паренхимы легкого;
- наличие новообразований;
- болезни сердца и сосудов;
- очаги туберкулеза легких;
- разрастание соединительной ткани в легких;
- наличие полостей: кисты, абсцесса (гнойной полости);
- профессиональные заболевания дыхательной системы, связанные с накоплением в легких пыли или других вредных выбросов (пневмокониоз, антракоз, саркоидоз).
Показания к флюорографии
Этот диагностический метод используется как в профилактических целях (один раз в год), так и при определенных недугах:
- выяснение причины кашля, болей в грудной клетке, одышки;
- подозрение на наличие воспаления легких (пневмонии);
- наличие патологии сердца и сосудов (атеросклероз, аневризма аорты, патология сердечных клапанов);
- контакт с больным туберкулезом;
- подозрение на инфицирование ВИЧ;
- поиск инородных тел в дыхательных путях и верхних отделах желудочно-кишечного тракта.
Противопоказания к флюорографии и рентгену
Хотя выявление очагов туберкулеза на рентгене — наиболее информативный способ диагностики данного заболевания, рентгенологическое обследование связано с лучевой нагрузкой, а поэтому к его проведению есть ряд противопоказаний:
- возраст ребенка до 15 лет;
- тяжелое состояние больного, при котором его невозможно транспортировать в рентген-кабинет;
- беременные женщины, особенно в период первого триместра, так как тогда происходит формирование органов ребенка;
- женщины в период лактации;
- дыхательная недостаточность с тяжелым течением.
Отличия флюорографии и рентгена
При необходимости обследовать органы дыхательной системы у многих возникает вопрос о том, что выбрать: флюорографию или рентген легких.
Флюорография — более дешевый способ, так как для его проведения нужно меньшее количество пленки. Кроме того, для ее проявления не нужно использовать специальные приборы, снимки проявляются сразу же на пленке. Ввиду своей высокой доступности флюорография получила широкое распространение при профилактических осмотрах.
Однако она не так точна и информативна, как рентген. Поэтому для постановки точного диагноза и контроля над заболеванием в динамике необходимо провести рентгенографию органов грудной клетки. Еще один плюс рентгена — меньшая лучевая нагрузка, поэтому при необходимости рентген-диагностики беременным и детям назначается именно этот метод.
Как проявляется патология легких на рентгене
При развитии патологического процесса в легочной ткани наиболее характерный рентгенологический симптом — наличие тени в легком. Поэтому у многих может возникнуть вопрос по поводу затемнения в легких на флюорографии. Что это обозначает?
Затемнение может быть тотальным (покрывать всю легочную ткань) и локальным (занимать небольшой участок). Тотальное затемнение представляет собой тень белого света без четких контуров, занимающую большую часть легких. Она может быть как одно-, так и двусторонней.
Ограниченную тень рентгенологи подразделяют на очаг и инфильтрат. Очаг имеет диаметр до 10 мм, а инфильтрат — более 10 мм. Инфильтрат не имеет четких контуров и чаще всего возникает при пневмонии (воспалении легких), плеврите (воспалении плевры — оболочки, окружающей легкое).
При ответе на вопрос о том, что это — затемнение легких на флюорографии, стоит также отдельно выделить симптом одиночной округлой тени. Как правило, она представляет собой очаг размером 10-15 мм и может появляться при таких заболеваниях:
- туберкулема;
- периферическая опухоль;
- абсцесс;
- киста;
- аневризма артерии (мешкообразное выпячивание ее стенки).
Читайте также:
Обязательно ли будет кашель при пневмонии
Множественные округлые тени могут быть проявлением того, как выглядит туберкулез на снимке. Также они характерны для раковых метастазов в легкие.
Виды туберкулеза
То, как выглядит туберкулез на рентгеновских снимках, непосредственно определяет вид этого заболевания.
Выделяют следующие рентгенологические типы туберкулеза:
- инфильтративный;
- кавернозный;
- фиброзно-кавернозный;
- диссеминированный;
- цирротический;
- первичный туберкулез.
Инфильтративная форма
Это наиболее распространенная форма туберкулеза, которая встречается более чем в 60 % случаев. Она характеризуется распространенным некрозом (гибелью) ткани легкого. В зависимости от того, что показывает флюорография легких, выделяют несколько подтипов инфильтративного туберкулеза:
- круглый инфильтрат — затемнение овальной или округлой формы в верхних отделах легких, чаще всего под ключицей;
- облаковидный инфильтрат — тень однородной структуры с неровными границами;
- краевой инфильтрат — тень имеет форму треугольника, вершина которого направлена к корню легкого;
- дольковый инфильтрат — представляет собой группу слившихся очагов различной плотности;
- лобит — тень больших размеров, охватывающая целую долю легкого, имеет неоднородную структуру.
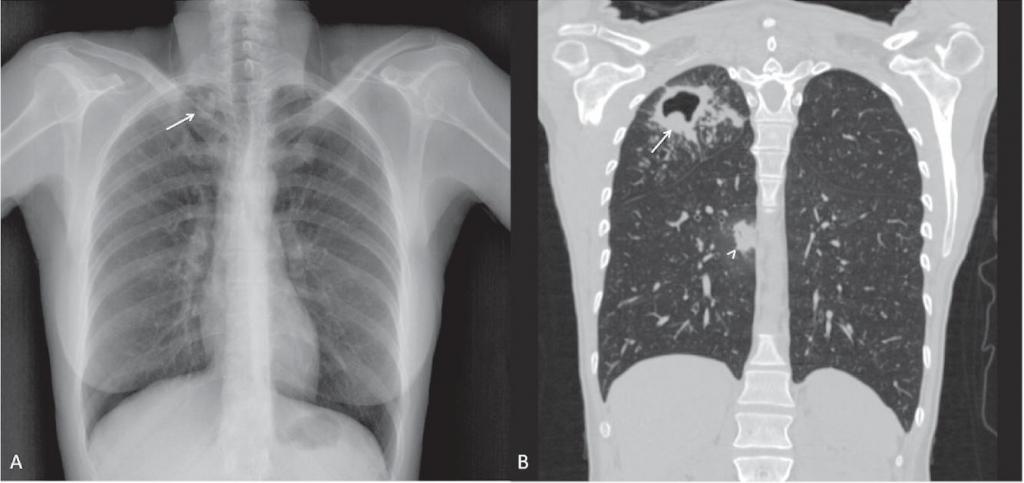
Кавернозная форма
Кавернозный туберкулез на рентгене характеризуется наличием полостей, или каверн. Они образуются при некрозе и распаде легочной ткани. При продолжительном течении заболевания вокруг полости разрастается соединительная ткань, тогда возникает другая форма туберкулеза — фиброзно-кавернозная.
Все каверны при туберкулезе можно поделить на несколько групп в зависимости от их структуры:
- капсулированные — полость имеет стенку из трех слоев (капсулу);
- санированные — полости не содержат гноя и остаются после выздоровления;
- эластические — полости имеют нагноение внутри, а их стенка состоит из двух слоев;
- фиброзные — образование соединительнотканной оболочки вокруг, что свидетельствует о переходе в следующую форму.
На рентгене кавернозный тип туберкулеза выглядит следующим образом:
- белая округлая тень (затемнение), в центре которой определяется черная легочная ткань (просветление);
- четкие контуры тени;
- возможно наличие так называемой дорожки к корню легкого.
Наиболее частая локализация каверн — верхние отделы легких, под ключицей.
Фиброзно-кавернозная форма
Является свидетельством хронического туберкулезного процесса. Происходит деформация ткани легкого и верхних дыхательных путей (трахеи, бронхов). При таком течении заболевания характерно чередование обострений (с кашлем, кровохарканьем, одышкой) и ремиссии, когда больного ничего не беспокоит.
Описание снимков туберкулеза при фиброзно-кавернозной форме имеет следующие особенности:
- полость с более толстой и ярко выраженной стенкой, чем при кавернозном туберкулезе;
- смещение трахеи в сторону образования каверны;
- деформация легочного рисунка;
- размещение полостей в верхних отделах.
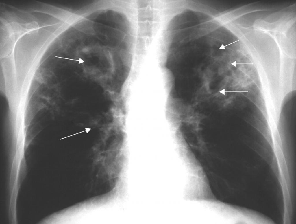
Диссеминированная форма
Эту форму туберкулеза можно поделить на острую, подострую и хроническую. Как правило, развивается остро со стремительным распространением туберкулезных палочек по всему организму.
Выделяют еще одну классификацию в зависимости от способа распространения микобактерий:
- гематогенное — на рентгене проявляется более крупным размеров очагов, находящихся в верхних отделах легких;
- лимфогенное — очаги среднего размера, размещенные преимущественно в нижних отделах;
- лимфобронхогенное — характерно одностороннее поражение в нижних отделах легкого.
То, как выглядит туберкулез на снимке, зависит как от характера его распространения, так и от остроты процесса. Наиболее характерный подтип диссеминированного туберкулеза — милиарный туберкулез. Он представляет собой острую, чаще всего гематогенную инфекцию.
Ниже перечислены основные его признаки на рентгене:
- большое количество мелких очагов, несколько миллиметров в диаметре;
- очаги равномерно распространены по всему легочному полю;
- иногда очаги сливаются;
- корни легких несколько приподняты;
- иногда объем легочной ткани становится меньше.
Цирротическая форма
Данный вид туберкулезного процесса отличается масштабным разрушением легочной ткани и разрастанием на ее месте соединительных волокон.
На рентгене цирротическая форма проявляется следующим образом:
- массивное затемнение высокой плотности, выглядит как ярко-белая тень;
- уменьшение объема пострадавшего легкого;
- пористый вид легочного рисунка в нижних отделах;
- смещение корня легкого и тени органов средостения в больную сторону.
Первичный туберкулез
Эта форма туберкулеза поражает детей или пожилых людей. Выделяют три подтипа:
- туберкулез невыясненной локализации;
- туберкулез внутригрудных лимфатических узлов;
- первичный туберкулезный комплекс.
При первом подтипе, несмотря на наличие симптоматики, изменения в легких на рентгене выявить не удается. Поэтому необходимо дальнейшее обследование для выяснения локализации патологического процесса.
При втором подтипе поражаются лимфатические узлы средостения: парабронхиальные, парааортальные, паратрахеальные. То, как выглядит туберкулез на снимке, напрямую зависит от локализации пораженных лимфатических узлов:
- характерно расширение корня легкого с размытыми краями;
- возможно наличие неоднородности полей легкого.
Первичный туберкулезный комплекс определяется на рентгене при наличии таких трех признаков:
- «дорожка», которая идет к корню легкого (лимфангит);
- расширение корня, связанное с воспалением лимфатического узла (лимфаденит);
- очаг высокой плотности в ткани легкого, возникающий при отложении солей кальция (очаг Гона).
Дифференциальная диагностика туберкулеза
Как правило, при постановке диагноза туберкулеза с помощью рентгена необходимо уметь отличать его от рака легкого и пневмонии. Часто разницы на снимках пневмонии и туберкулеза, особенно при инфильтративной форме, практически нет. Однако есть и некоторые отличия. Пневмония обычно представляет собой одностороннее поражение, в то время как туберкулез в большинстве случаев поражает легочную ткань с двух сторон.
Кроме того, инфильтрат при пневмонии локализуется в нижних отделах, а при туберкулезе — в верхних. Инфильтрат более выражен при туберкулезе, часто имеются очаги деструкции, диссеминации.
Также нужно отметить, отличается ли на снимках рак от туберкулеза. Иногда сделать это довольно сложно, особенно при очаговых формах туберкулеза. Поможет в этом ряд следующих признаков:
- раковая тень интенсивна, с более размытыми контурами;
- тень при раке в большинстве случаев имеет однородную структуру;
- рост туберкулезного процесса, если нет диссеминации, ограничен плеврой, а поэтому не прорастает в соседние доли легкого;
- рак может разрастаться на соседние доли.
Диагностика туберкулеза при помощи рентгена достаточно сложна, и только врач может поставить окончательный диагноз и назначить эффективное лечение. Ведь туберкулез — это не приговор!












