Микоплазменная пневмония у ребенка относится к группе острых инфекционных заболеваний, которые имеют различные симптомы, происхождение и течение. Основной характерной чертой заболевания является очаговое воспалительное поражение легких.
Чаще всего в медицинской практике сталкиваются с так называемой внебольничной пневмонией (домашней, амбулаторной) – острым заболеванием, возникшим за пределами больничных условий.
Возбудители
Наиболее значимыми источниками заражения являются так называемые атипичные организмы, а именно микоплазмы и хламидии пневмония.
Микоплазма
Симптомы микоплазменной пневмонии обнаруживают у детей от 5 лет и старшего возраста. Инфекция передается воздушно-капельным путем. Ее основным первоисточником может быть как больной, так и носитель. Временные рамки инкубационного развития от 2-х до 3-х недель. Когда микоплазма попадает в кровеносную систему, то провоцирует немалые видоизменения дыхательных органов.
Наиболее сложно текущая пневмония происходит у новорожденного ребенка. Возрастная категория малышей от 8-ми до 10-ти лет зачастую переживают только стертую форму инфекции. Дети в средней и старшей школе переносят заболевание настолько же трудно, как и новорожденные. Бывают случаи, когда различные вирусно-респираторные инфекции, например вирус гриппа или др., сочетаются с микоплазмозами органов дыхания, вызывая пневмонию.
Хламидия
Хламидии – это внутриклеточные паразиты своеобразные гибриды вируса или бактерии. Респираторно-вирусные заболевания, вызванные хламидиями, характеризуются длительным течением. Новорожденный ребенок может тоже заболеть этой инфекцией.
Дети младше 6 месячного возраста заражаются «вертикально», то есть от мамы, если у нее во время вынашивания ребенка был обнаружен хламидиоз. При этом, у малыша развивается конъюнктивит, сочетаемый с тяжелым дыхательным вирусом.
Хламидийная пневмония является осложненной формой детского хламидиоза. Хламидии, вызывающие пневмонию, случаются в медицинской практике с частотой от 10 до 20%, а при обострении эпидемии данные значительно повышаются до 25%.
Симптомы
Симптомы течения болезни и общая клиническая картина микоплазменной и хламидийной пневмонии очень схожи между собой. Главные симптомы микоплазмы пневмонии у малыша обычно следующие:
- непродуктивный обильный кашель, который возникает через 3–5 дней после заболевания;
- легкая, случается и достаточно сильная лихорадка;
- частые головные боли;
- отчетливо проявленный недомогание и болезненные ощущения суставов;
- боль в грудной клетке, увеличивающей при рефлексах кашля;
- иногда случается покрытие барабанных перепонок и слизистых сыпью.
Заболевание чаще обнаруживают в садах и школах, где дети тесно контактируют. Также известно, что инфекция имеет признаки сезонности. При этом микоплазменной пневмонии больше подвергаются мальчики, нежели девочки.
Симптомы практически идентичны вышеуказанным. Инкубационное развитие происходит постепенно на протяжении 3–4 недель. Изначально заметны симптомы ринита, фарингита или синусита, а по истечению 1–4 недель у некоторых детей диагностируют развитие пневмонии. Хламидийная форма у детей отличается от микоплазменной ослаблением функционирования голосовых связок и болевыми ощущениями в околоносовых пазухах. Кашель отличается продолжительностью, сухостью или с отделением незначительной мокроты.
Диагностика
Учитывая стертые симптомы, определить этот вид воспаления очень трудно. Стандартная срочная диагностика для идентификации возбудителей пневмонии не существует. Лабораторная диагностика является основным методом по определению наличия в организме микоплазмы или хламидии, поскольку клинических и рентгенологических данных недостаточно для их идентификации.
Иммунологический анализ
Диагностика посредством выделение культуры микоплазмы пневмонии и хламидий пневмонии представляет собой очень специфичный и чувствительный метод в лабораторной диагностике, а также трудоемкий и длительный процесс. Поэтому серотипирование является общеупотребляемым способом диагностирования. Анализ позволяет выявлять специфические lgM и lgG-антитела к возбудителям пневмонии.
Часто диагностика проводится путем иммуноферментного анализа (ИФА) или реакцией микроиммуфлюоресценции (МИФ). ИФА-способ выявления характерных антител стал основой серологического диагностирования заболевания микоплазмы и хламидий.
Анализ помогает выяснить на какой стадии находится инфекция. Заболевание идентифицируется реакцией МИФ. Точная диагностика титров антител может совершаться только врачом, назначившим анализ.
Метод ПЦР
На сегодняшний день диагностика с использованием метода ЦПР (полиразмерной цепной реакции) – самый точный способ установления наличия возбудителей пневмонии. По сравнению с вышеописанным анализом диагностика полиразмерной цепной реакции обнаруживает микоплазмы и хламидии у 90% больных, которые обследовались. Основой является выявление ДНК микроорганизмов, а не идентифицирование антител lg, ввиду чего отличается точностью и чувствительностью. Анализу подлежит мазок зева или мокрота, выделяющаяся при кашле, что способствует уверенному определению присутствия возбудителя.
Лечение
Эффективное лечение доктор назначает, учитывая все отличительные симптомы и особенности каждого ребенка в зависимости от возраста, анамнеза и наличия сопутствующих заболеваний. Лечение необходимо проводить под строгим наблюдением специалистов.
- Обязательно почитайте: последствия пневмонии у детей
Антибиотики
Микоплазменная и хламидийная пневмония эффективно лечатся антибиотиками, которые проявляют чувствительность к возбудителям. Их назначение делается только по результатам анализов и лечение корректируют согласно необходимому направлению.
Лечение новорожденных сопровождается антибиотиками из группы макролидов. При обострениях инфекций назначаются тетрациклиновые антибиотики. Лечение так же сопровождается симптоматической терапией и общеукрепляющими мероприятиями. На пути завершения выздоровления будет эффективным немедикаментозное лечение, а именно предписание врачом физиотерапии, гомеопатии и др.
Если симптомы интоксикации пневмонии ярко выражены, необходимо лечение ребенка в стационаре, чтобы избежать плачевных исходов. Только правильное и комплексное лечение приведет к полному выздоровлению малыша, что обязательно должно быть подтверждено анализом титров крови.
Профилактика
Вакцина против возбудителей данных видов пневмонии пока не изобретена из-за высокой иммуногенности антител. От инфицирования бактериями микоплазмы и хламидией сложно оградиться из-за легкости перенесения от одного ребенка к другому.
Читайте также:
Как лечить двухстороннюю пневмонию у взрослых
[veo class=”veo-yt” string=”BXdVvfQ7-dU”]
- Обязательно почитайте: массаж при пневмонии у детей
Если малыш находится в зоне высокого риска по восприятию заболеваний, ему нужно избегать всех, кто болен и обязательно часто мыть руки. Главное, чтобы иммунная система вашего малыша была сильной и поддерживалась на должном уровне. Тогда вы сможете забыть о заболеваниях дыхательных путей.
Оцените статью: 78 Пожалуйста оцените статью
Сейчас на статью оставлено число отзывов: 78 , средняя оценка: 4,04 из 5
Загрузка…
Хламидийная пневмония – это инфекционно-воспалительный процесс в легких, вызванный облигатными внутриклеточными бактериями рода Chlamydia и Chlamydophila. Для хламидийной пневмонии характерны респираторные проявления (ринит, трахеобронхит), малопродуктивный кашель, субфебрильная и фебрильная температура, внелегочные симптомы (артралгия, миалгия). При постановке диагноза учитываются аускультативные и рентгенологические данные, однако решающая роль принадлежит лабораторной диагностике (ИФА, МИФ, ПЦР и др.). Для терапии хламидийной пневмонии применяются антимикробные средства (макролиды, тетрациклины, фторхинолоны), иммуномодуляторы, физиопроцедуры.
Общие сведения
Хламидийная пневмония – этиологическая разновидность атипичной пневмонии, возникающая при инфицировании дыхательных путей различными видами хламидий — Ch. рneumoniae, Ch. psittaci и Ch. trachomatis. Считается, что ежегодно среди внебольничных пневмоний от 5 до 15% случаев вызываются хламидиями; во время эпидемических вспышек этот показатель может составлять 25%. Чаще всего заболевают взрослые, случаи хламидийной пневмонии у новорожденных связаны с заражением от матерей, больных урогенитальным хламидиозом.
Бессимптомное носительство хламидий в носоглотке определяется более чем у половины взрослых и 5-7% детей, поэтому вероятность передачи инфекции с респираторными секретами очень высока. Описаны внутрисемейные вспышки хламидийной пневмонии, а также случаи массовой заболеваемости в изолированных коллективах.
Хламидийная пневмония
Причины
Характеристика возбудителя
Из всего многообразия представителей семейства Chlamydiaceae в этиологическом отношении практический интерес для пульмонологии представляют три типа хламидий: Chlamydophila pneumoniae, Сhlamydia trachomatis и Chlamydophila psittaci.
- Ch. pneumoniae служит самым частым возбудителем респираторных хламидиозов (в том числе хламидийного фарингита, синусита, бронхита, пневмонии) у пациентов всех возрастов.
- С Сh. trachomatis связана заболеваемость трахомой, мочеполовым хламидиозом, венерической лимфогранулемой, а также хламидийной пневмонией среди новорожденных и грудничков до 6 месяцев. Также с этим типом хламидий ассоциированы пневмонии у иммунокомпрометированных лиц и сотрудников лабораторий.
- Ch. psittaci рассматривается как возбудитель орнитоза (пситтакоза), часто протекающего в форме тяжелой интерстициальной пневмонии.
Механизм передачи
Пути заражения каждой разновидностью хламидий отличаются, однако все типы могут распространяться гематогенным путем. Передача Ch. pneumoniae от человека к человеку осуществляется преимущественно воздушно-капельным и контактно-бытовым путями. Инфицирование штаммом Ch. psittaci происходит воздушно-пылевым или фекально-оральным путем при вдыхании пыли или употреблении пищи, содержащей биологические секреты птиц-переносчиков инфекции (попугаев, канареек, кур, уток, голубей, воробьев и др.).
Инфицирование новорожденных Ch. trachomatis происходит в процессе родов от матерей с урогенитальной хламидийной инфекцией. При интранатальном заражении у 15-25% младенцев возникает хламидийный назофарингит и конъюнктивит, которые часто осложняются пневмонией.
Патогенез
Все хламидии являются облигатными грамотрицательными микроорганизмами, паразитирующими внутри клеток хозяина. В макроорганизме хламидии могут существовать в инфекционной форме (элементарные тельца) и вегетативной форме (ретикулярные тельца). Элементарные тельца проникают внутрь клетки путем стимуляции эндоцитоза, где преобразуются в ретикулярные тельца. Последние обладают высокой метаболической активностью и способностью к внутриклеточному бинарному делению.
Цикл размножения длится около 48 часов, после чего ретикулярные тельца вновь превращаются в элементарные, происходит разрыв мембраны клетки хозяина с выходом элементарных телец новой генерации во внеклеточную среду. Далее цикл инфицирования новых клеток повторяется.
Симптомы хламидийной пневмонии
Пневмония, вызванная Chlamydophila pneumoniae
Хламидийной пневмонией, вызванной Ch. pneumoniae, чаще болеют дети и молодые люди в возрасте от 5 до 35 лет. Среди причин внебольничной пневмонии в этой возрастной группе хламидии уступают только Mycoplasma pneumoniae.
Начало болезни острое или постепенное. В первом случае симптомы интоксикации и поражения дыхательных путей достигают максимальной выраженности уже на 3-и сутки. При подостром течении хламидийная пневмония манифестирует с респираторного синдрома (ринита, назофарингита, ларингита), познабливания, субфебрилитета, в связи с чем в первую неделю болезни у пациентов ошибочно диагностируется ОРЗ. Главным образом, больных беспокоит заложенность носа, нарушением носового дыхания, умеренные слизистые выделения из носа, осиплость голоса.
Собственно пневмония может развиваться в сроки от 1 до 4-х недель после появления респираторных симптомов. Температура тела повышается до 38-39°С, нарастает слабость, беспокоит миалгия, головная боль. Во всех случаях одновременно с лихорадкой появляется сухой или влажный приступообразный кашель, боль в груди. Течение хламидийной пневмонии затяжное; мучительный кашель и недомогание могут сохраняться до нескольких месяцев. Из осложнений наиболее часты отиты, синуситы, реактивные артриты.
Читайте также:
Пневмония на два легких на снимке
Пневмония, вызванная Сhlamydia trachomatis
Начало часто постепенное; у детей хламидийной пневмонии нередко предшествует конъюнктивит, острый средний отит или бронхит этой же этиологии. Ранним признаком становится сухой кашель, который, усиливаясь, приобретает приступообразный характер. На фоне кашлевых приступов у ребенка возникает тахипноэ, цианоз и рвота, однако репризы отсутствуют. Постепенно отмечается усугубление одышки, увеличение ЧД до 50-70 в минуту, дыхание становится кряхтящим. Вместе с тем, общее состояние обычно остается удовлетворительным, симптомы интоксикации и дыхательная недостаточность выражены слабо.
Аускультативная и рентгенологическая картина двусторонней хламидийной пневмонии разворачивается к исходу первой – в начале второй недели. В разгар заболевания могут появиться симптомы энтероколита, гепатоспленомегалия. Выздоровление часто затягивается на многие недели и месяцы. При тяжелых формах хламидийной пневмонии может возникать пневмоторакс, плеврит, абсцедирование. Из внелегочных осложнений встречаются миокардиты, эндокардиты, менингоэнцефалиты. Дети, перенесшие хламидийную пневмонию, вызванную Ch. trachomatis, в дальнейшем чаще страдают бронхиальной астмой и другими хроническими обструктивными заболеваниями легких.
Пневмония, вызванная Chlamydophila psittaci (Орнитоз)
Варианты клинического течения орнитоза различны – от бессимптомного до тяжелого. Самым ярким симптомом выступает высокая (до 39,5-40°С и выше) температура тела, сопровождающаяся ознобами и сильнейшей интоксикацией (резкой слабостью, головной болью, артралгиями, миалгиями). В отсутствие других симптомов данное состояние нередко расценивается как лихорадка неясного генеза.
В дальнейшем более чем в половине случаев возникает малопродуктивный кашель, боль в груди, увеличение печени и селезенки. Характерными признаками, указывающими на хламидийную этиологию пневмонии, служат признаки нейротоксикоза, пятнистая сыпь на коже, носовые кровотечения. Часто возникают расстройства пищеварения: тошнота, рвота, абдоминальные боли, поносы или запоры.
Клинико-рентгенологические изменения могут сохраняться в течение 4-6 недель. Типичными осложнениями орнитоза выступают гепатит, ДВС-синдром, венозные тромбозы, гемолитическая анемия, полиневропатии, миокардит.
Диагностика
Затруднения при установлении этиологического диагноза связаны с тем, что в отличие от бактериальных пневмоний, при хламидийной пневмонии отсутствуют отчетливые физикальные и рентгенологические признаки, а также характерные изменения в периферической крови. В этих условиях терапевтам и пульмонологам приходится ориентироваться, главным образом, на указания анамнеза, особенности клинической картины и подтверждать свои подозрения лабораторными методами (ИФА, ПЦР и др.).
- Физикальный осмотр. Аускультативные данные вариабельны: дыхание может быть жестким, бронхиальным или ослабленным везикулярным; хрипы в разгар заболевания чаще влажные или крепитирующие. Перкуторный звук обычно притуплен.
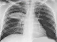
- Рентгенография. При рентгенографии легких выявляется очаговая, сегментарная или долевая инфильтрация либо интерстициальные изменения.
- Лабораторная диагностика. Наиболее специфичным и чувствительным является культуральный метод выделение возбудителя, однако из-за длительности и трудоемкости диагностики на практике обычно ограничиваются серотипированием. Стандартом на сегодняшний день служат ИФА и МИФ (реакция микроиммунофлюоресценции). При проведении ИФА на активность хламидийной инфекции указывает повышение титра специфических IgМ, IgG и IgА более 1:16, 1:512 и 1:256 соответственно; МИФ — повышение титра IgG/IgА в парных сыворотках крови в 4 и более раз. ПЦР-анализ позволяет быстро и безошибочно идентифицирвоать ДНК возбудителя, однако не позволяет отличить персистирующую инфекцию от активной.
Дифференциальную диагностику хламидийной пневмонии следует проводить с гриппом, коклюшем; вирусной, микоплазменной, легионеллезной, грибковой пневмонией и другими атипичными легочными инфекциями.
Лечение хламидийной пневмонии
Сложность эффективного лечения хламидийной пневмонии сопряжена с тем, что хламидии присутствуют в организме одновременно как во внеклеточных, так и внутриклеточных формах, поэтому необходимо воздействовать на оба этих звена. Кроме этого, активизация инфекции, как правило, происходит на фоне угнетения иммунитета, что также требует коррекции иммунного ответа.
Средствами эрадикационной терапии при хламидийной пневмонии признаны антимикробные препараты из групп макролидов, фторхинолонов и тетрациклинов. Наиболее предпочтительны среди них макролиды, т. к. могут применяться для терапии новорожденных, детей и беременных. Из препаратов этой группы наибольшей активностью в отношении хламидий обладают кларитромицин, джозамицин, эритромицин, спирамицин.
Также успешно справляются с хламидийной инфекцией фторхинолоны (ципрофлоксацин, офлоксацин, левофлоксацин) и тетрациклины (доксициклин, моноциклин), однако прием последних исключается при беременности и печеночной недостаточности. Длительность курса противомикробного лечения хламидийной пневмонии составляет не менее 2–3 недель.
С целью коррекции иммунологических расстройств, а также предупреждения рецидива инфекции, помимо антимикробных средств, назначаются иммуномодуляторы, витамины, пробиотики. В период реконвалесценции большое внимание уделяется физиотерапии, дыхательной гимнастике.
Прогноз
У пациентов молодого возраста с отсутствием сопутствующей патологии хламидийная пневмония обычно оканчивается выздоровлением. Среди пожилых летальные исходы возникают в 6-10% случаев. Наблюдения специалистов указывают на возможную этиологическую роль Ch. pneumoniae в развитии атеросклероза, саркоидоза легких, ишемического инсульта, болезни Альцгеймера, поэтому перенесенная хламидийная пневмония может иметь далеко идущие последствия. Однозначно доказано отрицательное влияние респираторного хламидиоза на течение бронхиальной астмы и частоту ее обострений.
Читайте также:
Может ли быть пневмония без кашля и мокроты
Mycoplasma pneumoniae (микоплазма пневмония) относится к классу Mollicutes, порядку Mycoplasmatales, семейству Mycoplasmataceae и роду Mycoplasma, является мембрано-ассоциированным микроорганизмом, способным к саморепликации и длительной персистенции в восприимчивом организме. Chlamydophila pneumoniae, согласно последней классификации, относится к семейству Chlamydiaceae, роду Chlamydophila, является облигатным внутриклеточным паразитом слизистой оболочки человека и животных. Цикл развития Chlamydophila pneumoniae состоит из чередования функционально и морфологически различных форм – элементарных и ретикулярных телец. Элементарные тельца метаболически малоактивны, но обладают инфекционными свойствами и способны проникать в чувствительную клетку. Ретикулярные тельца метаболически активны, обеспечивают репродукцию микроорганизма и не обладают инфекционными свойствами. M.pneumoniae и C.pneumoniae, по мнению ряда исследователей, могут длительно персистировать в клетках эпителия и лимфоглоточном кольце. Источником респираторных инфекций, вызванных M.pneumoniae и C.pneumoniae, могут быть больные и носители данных микроорганизмов в респираторном тракте. Периодически каждые 3–5 лет наблюдаются эпидемические подъемы заболеваемости, которые длятся несколько месяцев. ОРЗ, вызванные M.pneumoniae и C. pneumoniae, встречаются чаще у школьников, студентов и военнослужащих, а также у лиц с иммунодефицитом. Часто описываются семейные вспышки. Инкубационный период длится 1–4 недели. Микоплазменные пневмонии по данным ВОЗ составляют 10–20% от общего числа пневмоний. Заболевания, вызванные данными возбудителями, не поддаются лечению антибактериальными препаратами широкого спектра действия. Летальность при микоплазменной пневмонии составляет 1,4%. Данные культуральных исследований свидетельствуют о случаях носительства C.pneumoniae в лейкоцитах периферической крови (до 25% у взрослых), повышенный уровень АТ к C.pneumonia обнаруживается у 47,7% доноров крови. Носительство C.pneumoniae в эпителии верхних дыхательных путей составляет 1–2% у взрослых и 4–6% у детей без симптомов ОРЗ.
Показания к обследованию. Остро возникшее заболевание с локальными симптомами поражения верхних или нижних дыхательных путей: фарингит, гриппоподобные заболевания, синусит, бронхит, пневмония.
Дифференциальная диагностика. ОРЗ вирусной природы, коклюшная инфекция.
Материал для исследований
- Мазки из носоглотки – обнаружение АГ;
- мазки из носоглотки и ротоглотки – выявление ДНК микроорганизмов (поражение верхних дыхательных путей);
- мокрота, плевральная жидкость, аспираты из зева и трахеи, БАЛ – выявление ДНК микроорганизмов (поражение нижних дыхательных путей);
- сыворотка крови – обнаружение АТ.
Этиологическая лабораторная диагностика заболеваний включает культуральное исследование, обнаружение ДНК M.pneumoniae и C.pneumoniae, обнаружение АГ C.pneumoniae, обнаружение специфических АТ к M.pneumoniae и C.pneumoniae.
Сравнительная характеристика методов лабораторной диагностики. Культуральное исследование обладает низкой чувствительностью (40–60%) и длительностью (10–28 дней), в связи с чем для рутинной диагностики практически не используется.
Наиболее специфичным методом прямой диагностики названных патогенов является выявление их ДНК методом ПЦР с гибридизационно-флуоресцентной детекцией продуктов амплификации который позволяет избежать перекрестных реакций с непатогенными для человека микоплазмами (M.salivarium, M.orale, M.buccae), в норме колонизирующими ротовую полость человека.
Для обнаружения АГ C.pneumoniae применяют методы МФА (РИФ), ИФА. Диагностическая ценность этих исследований невелика.
Для обнаружение специфических АТ к M.pneumoniae и C.pneumoniae применяют ИФА (качественные, полуколичественные и количественные тесты), РСК, МИФ. Наиболее чувствительным является выявление АТ при применении МИФ, позволяющее идентифицировать специфические иммуноглобулины G, А и М. С целью исключения ложноположительных результатов обнаружения IgM, этот показатель определяют после обнаружения повышенного уровня IgG. При таких исследованиях наибольшую специфичность имеют количественные тесты с одновременным исследованием двух образцов крови, взятых в динамике с интервалом 3–4 недели (парные сыворотки). Метод РСК, использовавшийся ранее для диагностики инфекций, вызванных C.pneumoniae, выявлял АТ к роду Chlamydophila с чувствительностью не более 30% и не позволял дифференцировать C.trachomatis, C.psittaci и C.рneumoniae.
Показания к применению различных лабораторных исследований. С целью быстрой этиологической диагностики используется выявление ДНК микроорганизмов методом ПЦР. Выявление АТ применяют для ретроспективной диагностики и ретроспективного анализа природы эпидемических вспышек.
Особенности интерпретации результатов лабораторных исследований. Для диагностики заболеваний нижних дыхательных путей (бронхиты, пневмонии) мазки из носоглотки и ротоглотки использовать не рекомендуется в связи с низкой информативностью исследования данного материала. При определении титра АТ в образцах крови, взятых в динамике с интервалом 3–4 недели (парные сыворотки), диагностически значимым считается его нарастание не менее чем в 4 раза во второй сыворотке. При диагностике заболеваний, вызванных M.pneumoniae, следует учитывать, что концентрация специфических АТ к патогену при ОРЗ становится максимальной через 3–4 недели от начала болезни, затем она быстро падает ниже диагностически значимого уровня; у 30% пациентов с пневмонией, вызванной названным микроорганизмом, уровень специфических АТ не поднимается выше диагностически значимого, т. е. отрицательный результат исследования не исключает наличия инфекции. Возможно ложноположительные результаты определения АТ- IgM к C.pneumoniae в случаях присутствия ревматоидного фактора, особенно у пожилых пациентов. В связи с недостаточной чувствительностью тестов для выявления АГ методом РИФ получение отрицательных результатов при их использовании не исключает возможного инфицирования.

