Редактор
Неля Савчук
Врач высшей категории
Плевропневмония – воспаление легких, которое сопровождается вовлечением в процесс плевры.
Как правило, поражается целая доля (или больше). Плеврит является частым осложнением пневмоний, особенно пневмококковой. Это приводит к более тяжелому и длительному течению болезни.
Статья расскажет о пневмонии, осложненной плевритом, ее видах, симптомах и лечении.
Виды плеврального воспаления легких
Плевропневмонию можно классифицировать по нескольким признакам.
По механизму развития:
- первичная – развивается как самостоятельное заболевание;
- вторичная – плеврит возникает как осложнение на фоне уже имеющейся пневмонии.
Существует еще много классификаций, которые аналогичны таковым при обычной пневмонии. Например, плеврит может развиться как после лобарной, так и после лобулярной пневмонии. Однако, встречаются атипичные формы плевропневмонии, которые не входят ни в одну из классификаций. К ним относятся:
- Центральная – при ней воспалительный очаг локализуется в глубине легочной ткани.
- Абортивная – неожиданно резко появляется и также быстро исчезает (в среднем в течении 3-х суток происходит самоизлечение).
- Массивная – характеризуется быстрым распространением процесса на здоровые участки легких, при этом поражаются большие их объёмы.
- Ареактивная – развивается медленно, симптоматика скудная. Часто обнаруживается у людей со сниженной реактивностью иммунной системы.
- Мигрирующая – приобретает подострое или хроническое течение. Характеризуется переходом процесса на здоровые участки.
- Аппендикулярная – в связи с локализацией процесса в нижних отделах правого легкого симулирует клинику острого аппендицита.
- Менингиальная – клинические проявления симулируют менингиальный синдром.
- Тифоподобная – напоминает клинику брюшного тифа.
Атипичные формы встречаются редко, однако очень сильно затрудняют постановку правильного диагноза.
Важно помнить о существовании атипичных форм плевропневмонии и проводить дифференциальный диагноз с другими заболеваниями, которые они могут имитировать!
Причины
Если говорить о самостоятельном заболевании, то причиной развития заболевания являются микроорганизмы. Чаще всего из очага инфекции высеваются:
- pneumococcus;
- staphylococcus;
- streptococcus;
- haemophilus influenzae;
- mycoplasma;
- chlamydia;
- legionella;
- klebsiella;
- Грибы (кандиды, аспергилез);
- Вирусы (грипп, парагрипп, цитомегаловирус).
Но в большинстве случаев плеврит является осложнением возникшей пневмонии или развивается одномоментно с пневмонией, как осложнение другого заболевания респираторного тракта.
Факторы способствующие развитию вторичной плевропневмонии:
- наличие острого или хронического заболевания легких;
- местное или системное снижение иммунной защиты организма;
- позднее обращение за медицинской помощью или отказ от лечения;
- вредные привычки (курение, алкоголизм, наркомания);
- пожилой или ранний детский возраст;
- гиподинамия (лежачие больные, послеоперационные).
Если не пренебрегать собственным здоровьем, вовремя обратиться к врачу и соблюдать все его рекомендации, то в большинстве случаев можно избежать данной проблемы.
Клиническая картина
Заболевание, как правило, имеет острое начало и достигает своего максимума уже на 2-3 сутки. При типичном течении встречаются все симптомы характерные для пневмонии:
- лихорадка (38-40°C );
- кашель (первые 1-3 дня сухой, затем влажный);
- боль в грудной клетке;
- слабость, головные боли;
- гиперемия щеки на стороне поражения;
- кожные покровы бледные или синюшные;
- тошнота, рвота;
- мокрота коричневого или ржавого цвета, иногда в ней могут быть прожилки крови;
- боли в животе, если патологический процесс расположен в нижних отделах легких;
- одышка;
- тахипноэ;
- тахикардия.
Есть симптомы, которые возникают после вовлечение в воспалительный процесс плевры, их можно назвать специфичными для плевропневмонии. Это то, чем отличается одно заболевание от другого. К ним относятся:
- Болевой синдром. Боль усиливается при кашле, повороте тела в здоровую сторону, имитации дыхательных движений. Боль исчезает после развития выпотного плеврита.
- Неравномерное участие двух половин грудной клетки в акте дыхания. Наблюдается отставание на пораженной стороне.
- Снижение экскурсии грудной клетки на стороне поражения.
- Западение (при сухом) и выбухание (при выпотном) межреберных промежутков.
Плевропневмония протекает в три стадии:
1. Прилива (до 3-х дней) – характеризуется отеком тканей, полнокровием и экссудацией в альвеолы.
2. Опеченения (от 3-х дней до 2-3-х недель):
- красного – миграция в альвеолы большого количества эритроцитов и фибрина вместе с плазмой;
- серого – гемолиз эритроцитов, находящихся в экссудате, и скопление большого количества лейкоцитов в нем, образование фибриновых пленок.
3. Разрешения (до 3-х недель) – в это время происходит рассасывание фибриновых пленок и экссудата.
Плеврит развивается, как правило, в конце первой – начале второй стадии.
Пневмония и плеврит – это абсолютно разные заболевания, которые имеют свои отличия. Пневмония – это воспаление паренхимы (в некоторых случаях стромы) легкого. Плеврит – это воспаление серозной оболочки (плевры), которая покрывает легкие снаружи и выстилает полость грудной клетки изнутри, в которой находятся легкие.
Лечение
Так как данная разновидность пневмонии протекает тяжело, показана обязательная госпитализация. Такие пациенты нуждаются в постоянном присмотре и специальном уходе, который можно произвести только в стационаре. Лечение в таком случае позволяет предупредить развитие опасных осложнений, а в случае возникновения угрожающего жизни состояния – быстро его купировать.
Для лечения плевропневмонии используют:
- антибиотики (в качестве этиотропной терапии);
- противовоспалительные и жаропонижающие средства (помогают облегчить симптомы);
- ненаркотические анальгетики (в период сухого плеврита, для купирования боли);
- инфузионную терапию (для борьбы с интоксикацией);
- бронходилататоры, муколитики и отхаркивающие препараты (данный комплекс способствует лучшему отхождению мокроты);
- ингаляция кислородом (в тяжелых случаях ИВЛ);
- витаминно-минеральные комплексы (в качестве общеукрепляющей терапии, которая способствует восстановлению иммунитета);
- диету.
В некоторых случаях (скопление большого количества экссудата, спайки в плевральной полости и других осложнениях) прибегают к хирургическому вмешательству. Самым простым является пункция плевральной полости с удалением экссудата.
Внимание! Нельзя удалять более двух литров жидкости за одну процедуру, так как это может привести к повреждению легкого или обезвоживанию организма!
После стабилизации состояния пациента можно назначить ему физиотерапию. Наиболее эффективными в данном случае является:
- облучение кварцем;
- ультравысокочастотная терапия;
- электрофорез лекарственных средств;
- ингаляции;
- вибрационный массаж.
На стадии реабилитации рекомендуется заниматься дыхательной гимнастикой для восстановления функции легких.
Осложнения
Осложнений при плевропневмонии несколько больше чем при обычной. Они подразделяются на:
1) Легочные:
- абсцесс;
- эмпиема плевры;
- острая дыхательная недостаточность;
- ателектаз легкого.
2) Внелегочные:
- сепсис;
- сердечная недостаточность;
- эндокардит;
- гнойный менингит;
- перитонит.
Осложнений можно избежать, если лечение болезни адекватное.
Заключение
Плевропневмония является более тяжелым заболеванием, чем обычное воспаление легких. Однако, в большинстве случаев ее можно предотвратить, если вовремя обратиться за помощью. Не следует надеяться на народные методы и заниматься самолечением – это все не эффективно и может привести к тяжелейшим осложнениям. Только в стационаре может быть оказана качественная и специализированная помощь, которая приведет к выздоровлению.
Читайте также:
Может ли хронический бронхит перейти в пневмонию
Пневмония может иметь как бактериальную, так и вирусную этиологию. Возбудителей можно привести очень много. Но основные вредители, вызывающие воспаление легких с осложнениями, — это стафилококки, стрептококки и пневмококки.
Неизлеченная пневмония на 2–3 неделе после начала острого периода часто перерастает в пневмоплеврит — плевральную пневмонию. Плеврит — не самостоятельное заболевание, а симптом, указывающий на усугубление воспаления.
Плевральная пневмония. Особенности
Когда воспаление затрагивает обе плевральные оболочки легких, начинается тяжелое воспаление, которое запросто может перейти в плеврит. Плевральные оболочки придуманы природой для того, чтобы после выдыхания легкие не соединялись. Область отрицательного давления, образующаяся между париетальным и висцеральным листками плевры, дает возможность легким беспрепятственно расширяться во время вдоха.
Плевра — это гладкая серозная оболочка, состоящая из двух слоев, отделяющая легкие от диафрагмы. В корне легкого два листка плевры объединяются.
Когда больной, подхвативший вирус или бактерию, долго не обращался с воспалением легких к врачам, воспаление переходит на оболочки легких. Такое воспаление и называется плевральной пневмонией.
Осложнения
Носовые реснички, миндалины — это природные барьеры, которые должны защищать дыхательные пути от проникновения бактерий. Но если защитный барьер слаб, иммунитет подавлен, высока вероятность развития пневмоплеврита.
Среди осложнений плевральной пневмонии выделяют:
- абсцесс легкого;
- сухой плеврит;
- гнойный плеврит;
- пневмоторакс разрыв легкого и попадание воздуха в плевральную полость.
Есть еще не менее опасные не легочные осложнения:
- нарушения функций почек или печени;
- эндокардит или перикардит — воспаления оболочек сердца;
- сепсис — общее заражение крови.
Пневмоторакс и сепсис — самые опасные осложнения, часто летальные. Чтобы не допустить летального исхода, надо при первых симптомах пневмонии звонить в скорую. Необходимо определить возбудителя воспаления и форму заболевания.
Виды пневмонии
Существует несколько классификаций пневмонии. По степени, тяжести, по распространенности очага инфекции, клинико-морфологическим признакам.
По распространенности очага:
- левосторонняя;
- правосторонняя;
- двусторонняя;
- сегментарная;
- субсегментарная.
По клинико-морфологическим признакам:
- бронхопневмония;
- крупозная, или пневмоплеврит.
По тяжести:
- легкое воспаление;
- средней тяжести;
- тяжелое.
По форме течения:
- острая;
- длительно текущая.
Устанавливается вид пневмонии после множества анализов. Обязательно после того, как врач получит результаты бактериологического и гистологического исследования.
Признаки плеврита
Определить осложнение обычной пневмонии для человека без медицинского образования сложно. И если пневмония лечится в домашних условиях, то при появлении симптомов плеврита необходимо сразу звонить в скорую.
Явными симптомами пневмонии плевральной полости являются:
- температура 39° и выше;
- боль в грудной клетке, усиливающаяся при кашле;
- одышка, слабость;
- бледная кожа и характерный синюшный треугольник в уголках рта;
- ощущение стесненности в груди;
- бессилие;
- дыхание поверхностное.
Плеврит с гнойным экссудатом проявляется еще более тяжелыми симптомами.
- Дыхание сильно затруднено.
- Человек не может двигаться, боль несносная. Он лежит или сидит в том положении, в котором ему удобно вдыхать воздух.
- Температура 40 °С, и сбить обычными жаропонижающими невозможно — нужны антибиотики.
- Сильная ломота в мышцах и суставах.
- Холодная и посиневшая кожа.
- Давление понижено.
Считается, что если обычное воспаление не прошло через 3 недели, то плевральный выпот уже точно начал накапливаться, а значит нужен дренаж. Но в каждом случае развитие плевральной пневмонии проходит по-разному. Предвидеть результат осложнений не представляется возможным.
Опасность осложнений
Если началось осложнение при пневмонии, в полости плевры часто начинает скапливаться выпот. Плевральный выпот при пневмонии — скопление жидкости в полости легких объемом более чем 4 мм. Экссудат — жидкость в полости легких зависит от характера воспалительного процесса и клеточного состава плеврального выпота.
Плевральным выпотом осложняются пневмонии, вызванные не только пневмококками и стрептококками. Есть ряд других факторов:
- разрыв пищевода;
- остеомиелит;
- травмы грудной клетки;
- дивертикуллез;
- грибковая пневмония;
- пневмония с туберкулезной этиологией.
Однако в результате инфицирования стрептококками вероятность развития пневмоплеврита больше всего — около 60%.
Пневмония с высокой температурой более 7 дней приводит к резкой потере массы тела и анемии — малокровию. Поэтому терапию нужно начинать сразу, как только станет известен возбудитель инфекции.
Фазы формирования экссудата в легких
Плеврит развивается в несколько этапов. И чем раньше будут приняты меры, тем лучше болезнь лечится.
Этапы накопления в полости плевры жидкости следующие:
- воспаление с легких переходит на плевру;
- сосуды расширяются и выделение биологических жидкостей увеличивается;
- нарушается отток жидкости;
- в легких появляются спайки;
- жидкость, если долго находится в полости плевры, загустеет.
- формируется гнойный экссудат.
Следствием аномального процесса в легких становится формирование эмпиемы плевры. Это очень опасное осложнение, лечение которого заканчивается не всегда благополучно. Другая опасность большого скопления жидкости — это перекос средостения. Когда жидкость, например, в правом легком, давит на средостение, оно сильно наклонено в левую сторону, и наоборот.
Пневмония у детей
Дети переносят пневмонию тяжелее, при подозрении нужно звонить в скорую, чтобы врач сделал рентген и точно сказал диагноз. Многие родители, не зная диагноза, начинают давать ребенку рекламируемые антибиотики. От этого симптомы только размываются и врачу сложнее установить причину недомоганий.
Плевральная пневмония у детей протекает тяжело. Их иммунитет слаб. И защитные силы организма не могут противостоять атаке пневмококков долго. Если при пневмонии у маленького ребенка начнется гнойный плеврит и острая дыхательная недостаточность, промедление в квалифицированной помощи врача может стоить жизни малыша.
Заразно ли воспаление легких?
Некоторые считают, что пневмония развивается после переохлаждения. Другие утверждают, что воспаление может передаться воздушно-капельным путем. Стоит ли ограждать ребенка от других детей, если у него плевральная пневмония? Заразна ли она? Когда результатами исследования подтверждено, что болезнь имеет вирусную природу или бактериальную, то да — ребенок заразен.
Диагностика
Больному пневмонией — обычной или плевропневмонией — необходимо качественное многостороннее обследование. Какие исследования требуют пройти?
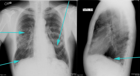
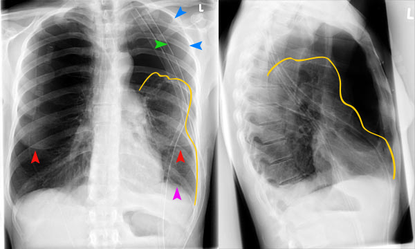
- рентген легких в двух проекциях: фронтальной и боковой;
- общий анализ крови;
- пункция плевральной жидкости и ее гистологический и биохимический анализ;
- при прослушивании стетоскопом слышны хрипы и характерные звуки от движения воспаленной плевры;
- видеоторакоскопия;
- компьютерная томография, если картина на рентгене недостаточно ясная.
Левосторонняя плевральная пневмония часто становится причиной инфаркта миокарда. При диагностике такого заболевания врач потребует сделать ЭКГ сердца.
Как вывести жидкость из полости легких?
Для удаления экссудата из полости плевры проводится дренаж. Пункция проводится во II—III межреберье, обязательно по передней поверхности груди. Жидкость откачивается через прокол, используя специальный дренажный аппарат. Во время откачки в полости плевры обязательно должно сохраняться отрицательное давление, равное 0,98-1,5 кПа.
Читайте также:
Ингаляции с эуфиллином при пневмонии
Своевременная откачка жидкости служит профилактикой пневмоторакса и эмпиемы плевры. Однако делать это должен торакальный врач.
Если экссудат не откачивать, субстанция будет превращаться в гной, и откачать ее будет сложнее.
Лечение препаратами
В случае плеврита, лечение народными методами проводить ни в коем случае нельзя. Врач, после определения причины воспаления, назначает необходимые препараты.
Если диагностирована плевральная пневмония, лечение такое:
- Курс антибиотиков третьего поколения, в том случае, если причина пневмоплеврита бактерии. Среди антибиотиков наиболее эффективны при разных видах воспаления макролиды и цефалоспорины. Например, «Цефтриаксон» из цефалоспоринов. Из макролидов полусинтетического происхождения — «Азитромицин».
- Пункция плевральной полости для откачки жидкости.
- Некоторое время принимаются также мочегонные препараты.
- Обезболивающие.
- Противовоспалительные средства.
- Курс витаминов для поддержания иммунитета.
В случае, если причины в размножении грибка в легких, назначаются противогрибковые препараты.
По окончанию лечения, когда воспаление практически ушло, осталось лишь немного мокроты, то назначают дыхательные гимнастики.
Профилактика
В период осенне-зимнего снижения иммунитета рекомендуется чаще гулять, не засиживаться в душных помещениях. Когда есть дома больные инфекционными заболеваниями, отделить их от остальных членов семьи. Пневмония действительно может быть заразна. Особенно опасно воспаление легких пожилым, детям и девушкам с низкой массой тела, которые сидят на диетах.
Желательно принимать зимой витамины, активно заниматься спортом и хорошо питаться. Все это укрепит способность организма бороться с бактериями и вирусами.
Из всех заболеваний органов дыхания, наиболее тяжелыми являются воспаления нижних дыхательных путей, а из них опасной формой воспаления является плеврит.
В этой статье мы рассмотрим, что это такое, расскажем о симптомах и лечении плеврита легких.
Можно ли лечить и как лечить воспаление плевры народными средствами.
Что такое плеврит
Плеврит легких — это воспалительный процесс в плевральной оболочке, приводящий к накоплению жидкостного содержимого (экссудата или фибрина) в полости плевры.
Возникает как патологическое состояние, после различных инфекционных заболеваний легких или прилежащих к ним образований. Очень редко возникает как самостоятельное заболевание.
Плевра представляет собой мембранную оболочку, которая окружает поверхность легких. Она состоит из пары лепестков, которые выстилают диафрагму, средостение и внутреннюю поверхности грудной полости.
У здоровых людей в плевральной полости содержится смазка в виде серозной жидкости, она способствует скольжению легких при дыхании. Остатки жидкости всасываются лимфатическими и кровеносными сосудами.
При начавшемся воспалительном или инфекционном процессе происходит отек, расширение сосудов, нарушается их проницаемость.
Через двое суток от начала воспаления наступает тромбоз сосудов. Плевра отекает, начинается клеточная инфильтрация. Затем появляется экссудат.
В зависимости от вида воспаления, он может быть гнойным, серозным, фибринозным, геморрагическим. После лечения экссудат может рассасываться, с последующим формированием спаечного процесса. Экссудат гнойного характера не рассасывается, устраняется только хирургическим путем.
Плеврит легких чаще выявляется у пожилых мужчин в возрасте 60-70 лет.
Классификация (виды болезни)
Все плевриты по этиологии разделяются на:
- Инфекционные. Возбудителем могут быть стафилококки, стрептококки, микоплазмы, грибки, род условно-патогенных бактерий (клебсиеллы), микобактерии туберкулеза.
- Неинфекционные (асептические). Развитию способствуют онкологические заболевания, аутоиммунные патологии (красная волчанка , Базедова болезнь), болезни желудочно-кишечного тракта, инфаркт миокарда, травмирование грудной полости.
По клинике воспаления плевриты легких делят на:
- сухой плеврит (невыпотной);
- экссудативный (выпотной);
- туберкулезный.
По составу содержимого экссудативный плеврит бывает:
- Серозно-фибринозный — воспалительный процесс, характеризующийся накоплением серозного содержимого. На плевральной поверхности образуется фибрин.
- Геморрагический — воспаление плевры, проявляющееся скоплением кровяного экссудата в ее полости.
- Гнойный. Проявляется образованием гнойного содержимого в плевральной полости. Может быть осумкованным или разлитым. При осумкованной форме гной находится в ограниченном пространстве. Разливной гнойный плеврит начинается после прорыва гноя в полость плевры.
Если плеврит легких начинается во время пневмонии, он называется парапневмоническим, если после перенесенной пневмонии — метапневмоническим.
Читайте также:
— пневмония симптомы у взрослых.
Парапневмонический плеврит начинается остро, при наличии пневмонии. Беспокоит влажный кашель, одышка, болезненность в груди при дыхании. Количество экссудата небольшое.
Метапневмонический возникает чаще у ослабленных лежачих больных. Начинается после пневмонии, тяжело поддается лечению и в большинстве случаев осложняется эмпиемой плевры (пиоторакс, гнойный плеврит).
Причины возникновения
Инфекции нижних дыхательных путей часто способствуют развитию плеврита легких. Из первичного очага при туберкулезе легких, пневмонии, абсцессе , патогенные организмы по кровеносному руслу или лимфе попадают в плевральную полость и вызывают ее воспаление.
Инфицирование плевры может произойти во время внутриполостной операции или при травме грудной клетки.
Сопутствующие болезни неинфекционного происхождения также могут стать причиной развития плеврита. При онкологических заболеваниях выделяются метастазы, при попадании в плевру, они способствуют выделению экссудата. Инфаркт миокарда очень часто осложняется выпотным плевритом.
При тяжелых нарушениях иммунной системы (ревматоидный артрит , геморрагический васкулит , красная волчанка) развивает экссудативный плеврит. При таких поражениях бывает двусторонний.
У пожилых мужчин плеврит может начаться из-за воспаления поджелудочной железы. При остром панкреатите, ферменты оказывают токсическое действие на плевральную оболочку, вызывая образование фибрина.
Симптомы плеврита легких
Симптоматика плеврита зависит от формы воспаления и его стадии.
Главным симптомом сухого плеврита является кашель, который вызывает боль в груди. Если больной ложится на больной бок, неприятные ощущения уменьшаются. Наблюдается гипертермия до субфебрильных цифр, сухой кашель, общая слабость. При дыхании отмечается отставание грудной клетки в дыхании с патологической стороны.
Экссудативный плеврит развивается остро, появляется лихорадка, потливость, симптомы интоксикации. Отмечается быстрое нарастание одышки, чувство тяжести в груди. Больному тяжело лежать, он занимает вынужденное сидячее положение.
Симптомы серозно-фибринозного плеврита. Характеризуется скоплением серозного экссудата. Сначала развивается бессимптомно, затем появляется болезненное дыхание, сухой непродуктивный кашель, гипертермия,
Симптомом геморрагического плеврита является чувство сдавления в грудной клетке, сильная интоксикация,бледность кожных покровов, кашель с прожилками крови.
Гнойный плеврит характеризует стойкое повышение температуры до 39-40 С, боль при дыхании, одышка, слабость, потливость.
Туберкулезный плеврит характеризуется скачками субфебрильной температуры, одышкой, сухим кашлем, болью в мышцах. Часто переходит в эмпиему легких.
Осложнения
При своевременном выявлении причины заболевания и правильном лечении болезнь заканчивается полным выздоровлением.
В отдельных случаях развиваются такие осложнения:
- Спаечный процесс в легких. Представляет собой рубцовые образования в соединительной ткани плевры. Чаще формируются после экссудативного плеврита. При множественных спайках нарушается дыхательная система легких.
- Формирование плевральных шварт. Характеризуются фибринозными наслоениями на поверхности плевры. Возникают как после выпотного плеврита, так и после сухого. Чаще локализуются в верхних отделах легких. Пациентов с этим осложнением беспокоит одышка, тяжесть в груди при физической нагрузке.
- Пневмосклероз. Процесс, при котором происходит замена ткани легких на грубую соединительную ткань. На участках пневмосклероза легочная ткань теряет свою эластичность и не выполняет газообменную функцию.
- Эмпиема плевры. Опасное осложнение плеврита, приводящее к гангрене легкого. Характеризуется высокой температурой тела до 40 С, нестерпимой болью в груди. Развивается сердечная и дыхательная недостаточность. Что чаще всего приводит к смертельному исходу.
- Дыхательная недостаточность. Гнойное воспаление или обширное воспаление плевры может вызвать дыхательную недостаточность.
Читайте также:
Острая пневмония внебольничная левосторонняя нижнедолевая пневмония
Диагностика
Диагностические мероприятия включают:
- осмотр и опрос больного;
- клиническое обследование;
- рентгенологическое исследование и компьютерная томография;
- ультразвуковое исследование;
- общий анализ крови;
- плевральная пункция.
При осмотре больного с плевритом легких видна асимметрия грудной клетки, больная часть отстает в акте дыхания. При большом скоплении выпота может наблюдаться синюшность кожных покровов, так как нарушается кровоснабжение в шейных венах из-за сдавления. Больная сторона грудной клетки выглядит объемней.
При перкуссии отмечается ослабление перкуторного звука, причем верхняя граница представляет собой косую линию-Дамуазо, которая хороша видна на рентгенографии. При выслушивании легких фонендоскопом отчетливо слышен шум трения плевры, он похож на скрип снега. Дыхание в местах скопления жидкости резко ослаблено.
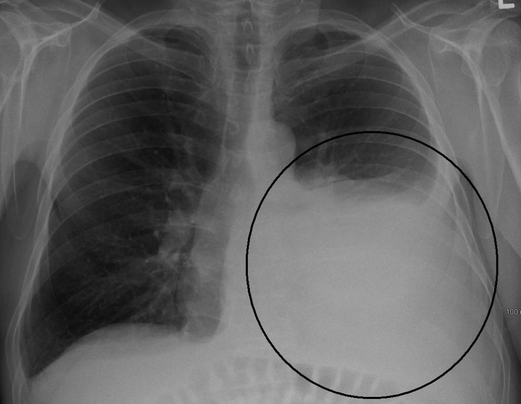
На рентгенографии симптомы выпотного плеврита легких отображаются как интенсивное однородное затемнение в нижних долях органа. Высокое стояние диафрагмы наблюдается при небольшом скоплении жидкости. Средостение смещено к здоровому легкому. При выполнении снимка в латеропозиции (больной ложится на бок) происходит горизонтальное смещение экссудата.
Не выпотной плеврит легких на снимке проявляется интенсивными тенями неоднородной структуры, синусы не определяются. Подвижность плевры резко ограничена.
В общем анализе крови при плеврите происходит сдвиг лейкоцитарной формулы влево, повышение уровня лейкоцитов, увеличение СОЭ. Эозинофилия и моноцитоз характерны для туберкулезного плеврита.
Биохимический анализ крови показывает наличие фибриногена и высокий уровень сиаловых кислот.
Основным информативным методом диагностики является торакоцентез (плевральная пункция). Пациенту делается прокол плевральной полости под местной анестезией с целью забора жидкости. Исследование экссудата помогает определить форму плеврита и инфекционного возбудителя болезни.
При туберкулезном, травматическом плеврите в экссудате видны эритроциты. Цвет может варьироваться от розового до насыщено-красного.
При гнойном процессе экссудат мутный серого или серо-зеленого цвета, при начавшейся гангрене может иметь зловонный запах. Если экссудат прозрачный и без запаха диагностируется серозный плеврит.
На ультразвуковом исследовании отмечается повышенная эхогенность в месте скопления жидкости, утолщение плевры.
Лечение плеврита
Главный принцип в лечении плеврита – это выявление и терапия основного заболевания. Больным плевритом легких необходимо сбалансированное питание с высоким содержанием витаминов. Показан строгий постельный режим.
Хирургическая операция ( торакоцентез)
Оперативное вмешательство при плеврите у взрослых необходима при гнойном воспалении.
Торакоцентез — является мерой неотложной помощи. При большом количестве выпота проводят плевральную пункцию, для освобождения полости от жидкости.
Процедура проходит в несколько этапов.
За один раз удаляют не более 1 литра экссудата. Выкачивание большого количества экссудата может привести к острой сердечной недостаточности и резкому расправлению легкого.
При необходимости в полость вводят антибактериальные препараты. После окончания процедуры проводят тугое бинтование грудной клетки для предупреждения коллапса.
Медикаментозное лечение
- Антибактериальная терапия. Плеврит легких инфекционной этиологии лечится антибиотиками. Обычно применяются амоксиклав, цефтриаксон, цефотаксим, сумамед. В терапии туберкулезного плеврита применяется рифампицин, изониазид.
- Кортикостероидная терапия. Лечение плеврита при аутоиммунных патологиях заключается в использовании гормональных препаратов. Применяется преднизолон.
Также в терапии плеврита используются симптоматические средства:
- Противокашлевые препараты. Больных плевритом беспокоит сухой мучительный кашель. Поэтому им назначаются средства, угнетающие кашлевой рефлекс- кодеин, синекод.
- Мочегонные препараты. Для выведения лишней жидкости из организма необходимо применение мочегонных средств — фуросемид.
- Нестероидные противовоспалительные средства. Для устранения болевого синдрома и снятия воспаления применяют лекарства — бутадион, ибупрофен, анальгин.
- Сердечные гликозиды. Для улучшения сократительной функции миокарда — коргликон.
- Бронходилататоры. Для расширения бронхов назначают эуфиллин, беродуал. Расслабляют мускулатуру бронхов, улучшают функцию дыхательных мышц.
- Инфузионная терапия. При сильной интоксикации используют внутривенно раствор Рингера.
Физиотерапевтические процедуры
Эффективны в лечении плеврита физиотерапевтические процедуры. С их помощью быстрее происходит эвакуация выпота, а также рассасываются спайки.
Из физиотерапевтических процедур применяется:
- электрофорез с хлоридом кальция;
- прогревание;
- различные компрессы.
Если плеврит вызван метастазированием опухоли, проводится химиотерапия.
Лечение плеврита должно проходить в условиях стационара под наблюдением специалистов. Терапия длительная от 2 до 4 недель.
Лечение плеврита легких народными средствами
Сочетание традиционной медицины и лечение плеврита народными средствами поможет более эффективно и быстро справиться с этим заболеванием.
Лечение плеврита народными средствами заключается в облегчении его симптомов.
Народные рецепты на основе аниса помогают устранить кашель, обладают бронхорасширяющим действием:
- 1 ч. ложку плодов аниса заварить 1 стаканом кипятка. Оставить настаиваться в течение 20 минут. Пить по ¼ стакана 4 раза в день за 30 минут до еды.
Отхаркивающее средство на основе редьки и меда:
- черную редьку среднего размера натереть на мелкой терке, отжать сок. Столовую ложку сока черной редьки смешать с 1 столовой ложкой меда. Употреблять по 2 ст. ложки за 15-20 минут до еды, 3-4 раза в день.
Народные рецепты с медом обладают противовоспалительным и иммуностимулирующим действием.
Муколитическое средство при плеврите:
- взять 2 ст. ложки сливочного масла, 2 вареных куриных желтка, 1 ч. л муки, 2 ч. ложки меда. Смешать все ингредиенты и принимать по чайной ложке 5 раз в день.
Хороший эффект дает лечение народными средствами в виде компрессов и растирок:
- растирка с камфорой. Камфорное масло 50 мл смешать с 5 мл масла эвкалипта. Растирать грудную клетку 2 раза в день;
- компресс согревающий с животным жиром. 250 г барсучьего жира (можно заменить свиным) смешать с 4 листьями алоэ. Алоэ следует измельчить. Добавить к ингредиентам 4 ст. ложки меда, все смешать. Вылепить лепешку и завернуть в марлевую ткань. Прикладывать к грудной клетке 3 раза в день.
В домашних условиях плеврит можно вылечить с помощью луковых ингаляций. В этом овоще содержатся фитонциды, которые способствуют очищению и укреплению дыхательной системы.
- луковицу почистить, нарезать на мелкие части. Положить их на марлевую салфетку, свернуть ее. Дышать над луковым мешочком 3-4 раза в день.
Лечение народными средствами плеврита можно начинать только после консультации с врачом. Народные рецепты являются вспомогательной терапией в лечении плеврита, поэтому должны применяться вместе с современными лекарственными препаратами. Лечение плеври?
Предыдущая статья
Как узнать что у ребенка отит среднего …
Следующая статья
Ожоги эфирными маслами на коже
Связанные материалы
- Пневмония Гулять при пневмонии если нет температуры By Осина Агния 4 года ago
- Пневмония Диф диагностика пневмонии и экссудативного плеврита By Набокина Злата 5 лет ago


















